قبل و بعد ارتودنسی اصلاح کمبود فضا Gallery قبل و بعد ارتودنسی اصلاح کمبود فضا ارتودنسی بزرگسالان, ارتودنسی کودکان قبل و بعد ارتودنسی اصلاح کمبود فضادکتر نسیم اثناعشری2020-12-14T16:03:18+03:30
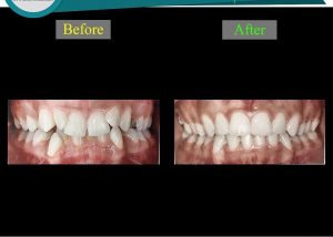
قبل و بعد ارتودنسی ثابت اصلاح روابط دندانی Gallery قبل و بعد ارتودنسی ثابت اصلاح روابط دندانی ارتودنسی بزرگسالان, ارتودنسی کودکان قبل و بعد ارتودنسی ثابت اصلاح روابط دندانیدکتر نسیم اثناعشری2020-12-14T16:23:58+03:30