در این نوشته می خوانید:
- 1 خطوط ریز روی دندان ها چیست؟
- 2 خطوط ریز چگونه به نظر می رسند؟
- 3 چه چیزی باعث ایجاد خطوط ریز می شود؟
- 4 دندان های ترک خورده در مقایسه با خطوط ریز روی دندان ها
- 5 آیا خطوط ریز می توانند منجر به ترک خوردن دندان شوند؟
- 6 خطوط ریز روی دندان ها و سلامت دندان ها
- 7 آیا خطوط ریز دندان ها را ضعیف می کنند؟
- 8 آیا می توان از شر خطوط ریز روی دندان ها خلاص شد؟
- 9 نکاتی برای جلوگیری از ایجاد خطوط ریز روی دندان ها
- 10 خلاصه
خطوط ریز روی دندان ها چیست؟
اگر متوجه خطوط کوچکی شده اید که از روی دندان های جلوی شما عبور می کنند، ممکن است نگران باشید که مشکلی پیش آمده باشد. اما آنچه که می بینید به احتمال زیاد craze lines یا خطوط در هم ریخته هستند که عیوب بی ضرر در مینای دندان شما هستند.
این خطوط عمودی گاهی اوقات نشانه ای بالا رفتن سن هستند، زیرا به نظر می رسد مینای دندان به مرور زمان سخت تر و نازک تر می شود. در موارد دیگر، آنها در نتیجه عادت هایی مانند دندان قروچه و جویدن ناخن بوجود می آیند.
اگر می خواهید ظاهر خطوط ریز را کاهش دهید یا آنها را از بین ببرید، چند گزینه دارید. با این حال، آنها الزاماً عملکرد یا سلامت دندان های شما را تحت تأثیر قرار نمی دهند.
خطوط ریز چگونه به نظر می رسند؟
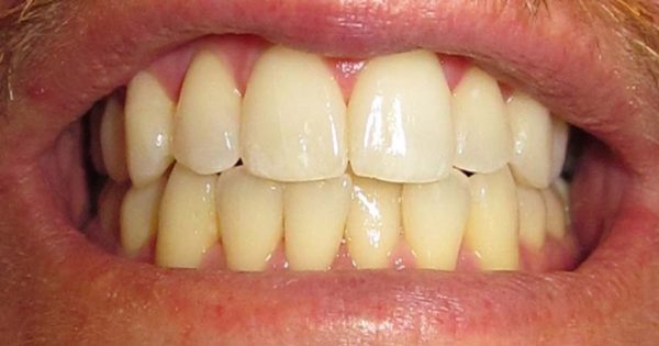
خطوط ریز مانند ترک های ریز مویی شکل روی مینای دندان های شما به نظر می رسند. آنها به صورت خطوط عمودی کم عمق و مستقیم ظاهر می شوند.
گاهی اوقات ممکن است خطوط ریز به رنگ های زرد، خاکستری یا قهوه ای به نظر برسند. در موارد دیگر، آنها شفاف هستند و به سختی قابل توجه هستند (مگر اینکه به دقت نگاه کنید یا دندان ها را خشک کنید).
اگر نوری را با زاویه ای خاص روی دندان های خود بتابانید، به راحتی می توانید خطوط ریز را مشاهده کنید. نور از سطوح ترک های مویی منعکس خواهد شد.
چه چیزی باعث ایجاد خطوط ریز می شود؟
خطوط ریز اغلب نشانه بی ضرری از بالا رفتن سن هستند، که ناشی از یک عمر فرسایش مینای دندان های شما است.
دندان های شما در طول روز و هر روز در معرض فشار قرار دارند. چندین دهه گاز زدن، جویدن، مسواک زدن و تغییرات دما باعث شکننده و نازک تر شدن مینای دندان می شود.
این تغییرات تدریجی می توانند منجر به ایجاد خطوط ریز شوند. با این حال، به احتمال زیاد، خطوط ریز به دلیل عادات یا شرایط خاص ایجاد می شوند. از جمله:
- فشردن یا ساییدن دندان ها و فک ها (دندان قروچه): وقتی دندان های خود را روی یکدیگر فشار می دهید، دندان های فک پایین و بالای شما به یکدیگر فشار وارد می کنند که باعث ایجاد فشار می شود که می تواند منجر به ایجاد خطوط ریز شود.
- جویدن ناخن و سایر عادات بد: جویدن ناخن، جویدن اشیا یا استفاده از دندان برای باز کردن بطری ها ممکن است با ایجاد خطوط دیوانگی ارتباط داشته باشد.
- خوردن غذاهای منجمد: گاز زدن غذاهای یخ زده یا جویدن تکه های یخ به جای مکیدن یخ می تواند باعث ایجاد خطوط ریز روی دندان ها شود.
- بایت ناهموار: بایت ناهموار یا غیر همسطح به دلیل نامرتبی دندان ها می تواند باعث ایجاد خطوط ریز روی دندان ها شود. وقتی دهان شما بسته است، ممکن است دندان ها در جایی که باید با یکدیگر تماس پیدا نکنند.
همه اینها می توانند مکرراً به فشار روزانه روی دندان های شما بیفزایند. این ممکن است باعث شود که روی مینای دندان های شما خطوط ریز بیشتری ایجاد شود یا آنها سریع تر گسترش یابند.
دندان های ترک خورده در مقایسه با خطوط ریز روی دندان ها
خطوط ریز ترک های سطحی هستند که فقط مینای دندان را تحت تأثیر قرار می دهند. معنای آنها معمولاً چیزی نیست که افراد تحت عنوان ترک های دندان به آنها اشاره می کنند.
زیر مینای دندان های شما دو لایه دیگر وجود دارد:
- عاج، که بیشتر دندان های شما را تشکیل می دهد.
- پالپ، بخشی که اعصاب و عروق خونی وجود دارند.
شکستگی “واقعی” دندان یک ترک در عاج و احتمالاً پالپ است. ممکن است دردناک باشد و اگر هر چه سریع تر درمان نشود در معرض خطر بدتر شدن قرار دارد. دندان های ترک خورده ممکن است به روکش، درمان ریشه یا درمان های دیگر نیاز داشته باشند.
از سوی دیگر، خطوط ریز دردناک نیستند. آنها معمولاً با هیچ علامت دیگری همراه نیستند و به درمان نیاز ندارند. آنها عمدتاً به مسئله زیبایی مربوط هستند.
آیا خطوط ریز می توانند منجر به ترک خوردن دندان شوند؟
به طور کلی، خیر. خطوط ریز عمدتاً مینای خارجی دندان را تحت تأثیر قرار می دهند. اگر پیشرفت کنند، به احتمال زیاد به جای آنکه عمق آنها بیشتر شود، روی سطح دندان پخش می شوند.
خطوط ریز روی دندان ها و سلامت دندان ها
خطوط ریز معمولاً نشانه مشکلی برای سلامت دندان های شما نیستند. با این حال، آنها ممکن است نشان دهنده عاداتی مانند دندان قروچه یا جویدن ناخن باشند.
در حالی که خطوط ریز روی سلامت عمومی دندان های شما تأثیری نمی گذارند، این عادت ها می توانند. آنها می توانند احتمال شکستن دندان و حساسیت دندان را افزایش دهند.
آیا خطوط ریز دندان ها را ضعیف می کنند؟
خیر، خطوط ریز باعث تضعیف دندان های شما نمی شوند. آنها مشکلات زیبایی بی خطری هستند که سلامت دهان و دندان های شما را تحت تأثیر قرار نمی دهند.
آیا می توان از شر خطوط ریز روی دندان ها خلاص شد؟
در حالی که خطوط ریز سلامت دهان و دندان های شما را تهدید نمی کنند، اما آنها می توانند یک مشکل زیبایی باشند. اگر می خواهید خطوط ریز کمتر دیده شوند، چندین گزینه دارید:
سفید کردن دندان
سفید کردن دندان ها یکی از راه های کاهش ظاهر خطوط ریز است. شما می توانید انتخاب کنید:
- از یک محصول خانگی مانند خمیر دندان سفید کننده یا نوارهای سفید کننده استفاده کنید.
- تحت درمان سفید کننده در مطب توسط یک متخصص قرار بگیرید.
این درمان های سفید کننده، هر لکه ای را از بین می برند که ممکن است آنها را تیره تر کند. آنها همچنین می توانند ظاهر کلی دندان های شما را بهبود دهند.
باندینگ دندان
گزینه دیگر این است که از دندانپزشک خود بخواهید که خطوط ریز را با رزین کامپوزیت بپوشاند. این فرایند باندینگ دندان نامیده می شود و یک فرایند نسبتاً سریع است.
روکش ها
“کامل ترین” راه برای بهبود دندانی که خطوط ریز دارد، گران ترین راه نیز است. ونیرها روکش هایی پوسته- مانند هستند که روی سطح دندان های شما قرار می گیرند.
ونیرها می توانند از پرسلن یا رزین کامپوزیت ساخته شوند. آنها مزیت تغییر کامل ظاهر دندان های شما را دارند، و در صورت مراقبت مناسب می توانند سال ها دوام بیاورند. با این حال، آنها معمولاً گران هستند.
نکاتی برای جلوگیری از ایجاد خطوط ریز روی دندان ها
با افزایش سن ممکن است درجاتی از تغییر در مینای دندان اجتناب ناپذیر باشد. با این حال، کارهایی وجود دارند که می توانید برای کاهش احتمال ایجاد و قابل مشاهده بودن خطوط ریز انجام دهید:
- مسواک زدن دندان ها به طور کامل اما به آرامی برای به حداقل رساندن لکه ها در خطوط ریز
- ترک عادت های بد مانند جویدن ناخن و باز کردن بطری ها با دندان
- خودداری از جویدن خوراکی های خیلی سرد یا منجمد مانند تکه های یخ
- استفاده از محافظ دندان شب یا محافظ دهان برای محافظت در برابر دندان قروچه
- اجتناب از خوراکی ها یا نوشیدنی هایی که باعث ایجاد لکه می شوند، مانند شراب قرمز و قهوه، زیرا آنها می توانند باعث شوند خطوط ریز روی دندان ها بیشتر قابل مشاهده باشند.
- اجتناب از محصولات تنباکو، که همچنین می توانند دندان های شما را لکه دار کنند، تا بتوان از میزان قابل مشاهده بودن خطوط ریز کاست.
این چیزها ممکن است تضمینی نباشند که خطوط ریز هرگز ایجاد نخواهند شد، اما در طول زمان برای حفظ سلامت و ظاهر دندان های شما بسیار مفید خواهند بود.
خلاصه
خطوط ریز ترک های عمودی کم عمق در لایه بیرونی مینای دندان های شما هستند. آنها ممکن است نیمه شفاف باشند، گرچه لکه شدن دندان می تواند باعث تیره تر شدن آنها شود.
در حالی که ممکن است ظاهر خطوط ریز روی دندان های خود را دوست نداشته باشید، اما معمولاً جای نگرانی ندارند. با افزایش سن، با ضعیف شدن مینای دندان، احتمال بروز آنها بیشتر می شود. عادات خاصی مانند جویدن ناخن یا دندان قروچه نیز می توانند در ایجاد آنها مؤثر باشند.
درمان های زیبایی مانند سفید کردن دندان ها می توانند خطوط ریز را کمتر نمایان کنند. در مورد گزینه های خود با دندانپزشک صحبت کنید.






ثبت ديدگاه