در این نوشته می خوانید:

پوسیدگی و حفره دندان روی اکثر مردم در مقطعی از زندگی آنها تأثیر می گذارد. آنها همچنین تا میزان زیادی با روتین بهداشتی خوب دهان و دندان و مراجعه منظم به دندانپزشک قابل پیشگیری هستند.

اگر پوسیدگی دندان داشته باشید، نباید آن را نادیده بگیرید، زیرا تنها رو به وخامت می رود، و در نهایت به یک عفونت جدی تبدیل می شود که به آنتی بیوتیک، کشیدن دندان و حتی جراحی نیاز خواهد داشت.

بنابراین اگر نگران پوسیده شدن دندان های خود هستید، مطمئناً تنها نیستید. خوشبختانه، پوسیدگی دندان اگر زود رسیدگی شود، می توان به راحتی آن را معکوس کرد و از تبدیل شدن آن به حفره جلوگیری کرد.

پوسیدگی دندان در صورت عدم درمان، می تواند منجر به بروز مشکلات جدی تر دندانی مانند آبسه و از دست رفتن دندان شود.

در این مقاله اطلاعات زیر را ارائه خواهیم کرد:

  • پوسیدگی دندان چیست؟
  • چه عواملی باعث پوسیدگی دندان می شوند؟
  • مراحل پوسیدگی دندان
  • چگونه می توان از شر حفره های دندان خلاص شد؟
  • چگونه می توان از پوسیدگی دندان ها جلوگیری کرد؟

ما همچنین برای شما توضیح خواهیم داد که چگونه پوسیدگی دندان منجر به بروز حفره و خرابی و کرم خوردگی دندان ها خواهد شد، و راه هایی برای متوقف کردن گسترش عفونت در این زمینه ارائه خواهیم داد.

کودکانی که دندان های پوسیده دارند نیز نگرانی فزاینده ای دارند، بنابراین ما اطلاعاتی نیز در مورد چگونگی تشخیص علائم دندان های پوسیده ارائه می دهیم، و نیز اینکه اگر فرزند شما حفره دندان دارد چکار کنید و چگونگی از پوسیدگی بیشتر دندان ها جلوگیری کنید.

پوسیدگی دندان چیست؟

باکتری های موجود در دهان شما در یک لایه چسبناک روی دندان های شما کَه تحت عنوان پلاک دندان معروف است انباشته می شوند. این باکتری ها از غذاها و نوشیدنی های شیرین تغذیه می کنند و اسیدی تولید می کنند که باعث از بین رفتن مینای دندان های شما می شود.

مینای دندان ، ماده ای محکم روی بیرونی ترین سطح دندان های شما است، که بدن شما با گذشت زمان می تواند آن را دوباره پر کند. اما وقتی مواد تولید شده توسط باکتری ها به یک نقطه خاص می رسند، بدن شما نمی تواند ادامه دهد و مینای دندان های شما شروع به پوسیده شدن می کنند.

پلاک اغلب در اطراف خط لثه، در امتداد لبه های پر شدگی های موجود دندان ها، جایی که به دندان ها وصل می شوند، و تیغه های روی سطوح جودنه دندان ها انباشته می شوند.

پلاک را می توان با مسواک زدن و نخ دندان کشیدن از روی سطح دندان ها پاک کرد، اما اگر برای مدت زمان کافی باقی بماند، سخت شده و به ماده ای به نام تارتار تبدیل می شود. این یک زمینه رشد برای آن باکتری های تولید کننده اسید است، اما تارتار تنها با پاکسازی مناسب دندان قابل برداشت است. تارتار در صورت عدم زدودنَ، می تواند منجر به بروز بیماری لثه یا ژنژیویت شود- که اغلب با خونریزی لثه ها همراه است.

بیشتر از 91% از بزرگسالان آمریکایی 20 تا 64 ساله حفره دندان دارند، و یک چهارم از همه حفره ها درمان نشده اند. پوسیدگی دندان شایع ترین بیماری مزمن در کودکان و بزرگسالان در آمریکا است، گرچه حفره ها تا حد زیادی قابل پیشگیری هستند. در مقایسه با کشورهای آسیا و اروپا، ایالات متحده درست بعد از تایلند و سنگاپور، سومین کشور در زمینه پوسیدگی دندان است.

حفره دندان چیست؟

بنابراین حفره ها چگونه شکل می گیرند؟ هنگامی که یک حفره در مینای دندان خراب شما وجود دارد، باکتری ها می توانند به درون لایه های داخلی عاج و پالپ پیشروی کنند و وقتی به آنجا دسترسی پیدا کردند، عفونت می تواند به سرعت گسترش یابد. سوراخ بوجود آمده در دندان حفره نامیده می شود.

به عبارت ساده تر، ما می توانیم حفره دندان را به عنوان سوراخی در دندان تعریف کنیم که هنگامی شکل می گیرد که پوسیدگی بدون درمان باقی می ماند تا گسترش پیدا کند. برای شکل گیری یک حفره بزرگ فقط یک سوراخ کوچک در دندان لازم است.

اگر حفره تا پالپ داخل دندان پوسیده گسترش یابد، باعث التهاب پالپ می شود و شروع به از بین رفتن اعصاب و عروق خونی خواهد کرد. در پایان، خود دندان پوسیده از دست می رود و تغییر رنگ می دهد.

باکتری ها می توانند باعث تشکیل آبسه دندان در ریشه دندان پوسیده یا در بافت لثه اطراف آن نیز شوند. این عفونت در نهایت ممکن است از طریق جریان خون به سایر قسمت های بدن نیز گسترش یابد، و باعث ایجاد مشکلات جدی برای سلامتی شود.

پوسیدگی و حفره دندان

پوسیدگی و حفره دندان

کدام دندان ها بیشتر مستعد پوسیده شدن و ایجاد حفره هستند؟

ایجاد حفره در دندان های مولر شایع تر از ایجاد حفره در دندان های جلوی شما است. احتمال ایجاد حفره در دندان های مولر، یا دندان های عقب دهان، بیشتر از ایجاد حفره روی روی دندان جلوی شما بیشتر است.

علت این است که دندان های عقب دهان دارای شیارها و فرو رفتگی های بیشتری هستند که می تواند باعث شود ذرات غذایی بیشتری در آنجا انباشته شوند.

علاوه بر این، احتمال داشتن حفره روی دندان های مولر نسبت به حفره دندان روی دندان های جلو شما بیشتر خواهد بود، زیرا تمیز کردن صحیح دندان های عقب خود می تواند دشوارتر باشد. با این حال، همه دندان های شما می توانند خراب شوند، بنابراین حتماً از همه آنها مراقبت کنید!

چه عواملی باعث پوسیدگی دندان می شوند؟

همه ما اگر از دندان های خود مراقبت نکنیم، مستعد پوسیدگی دندان هستیم. خب، اصلاً حفره های دندان چگونه شکل می گیرند؟ اجازه دهید برخی از شایع ترین دلایلی که باعث پوسیدگی دندان ها می شوند را مرور کنیم:

  • مصرف غذاها و نوشیدنی هایی که حاوی مقادیر زیادی شکر یا کربوهیدرات هستند.
  • خوردن مقدار زیاد مرکبات، که بسیار اسیدی هستند.
  • نوشیدن نوشیدنی های اسیدی مانند نوشابه و نوشیدنی های ورزشی.
  • خوردن میان وعده بین وعده های غذایی.
  • بهداشت بد دهان و دندان.
  • سیگار و پیپ کشیدن.
  • عدم مراجعه برای معاینه منظم دندانپزشکی.
  • عدم پاکسازی مناسب دندان ها هنگام استفاده از بریس ها.
  • پوسیدگی زیر روکش هایی که باید تعویض شوند.
  • اختلالات خوردن مانند بولیمیا.
  • تنفس بیش از حد از راه دهان (پیگیری کنید که چگونه می توانید تنفس دهانی را متوقف کنید)

خبر خوب این است که این دلایل پوسیدگی دندان همگی مواردی هستند که می توانید برای بهبود آنها کار کنید. با کنترل آنچه می خورید و می نوشید، خوب تمیز کردن دندان های خود، و مراجعه منظم به دندانپزشک برای پاکسازی حرفه ای دندان ها، می توانید احتمال بروز پوسیدگی و گسترش پوسیدگی دندان های خود را کاهش دهید.

به خاطر داشته باشید که، دندان های ما به دلیل باکتری های موجود در پلاک و همچنین اسید از منابع دیگر پوسیده می شوند. اگر دندان های شما احساس چسبندگی یا پرز دار بودن دارند، احتمالاً به دلیل پلاکی است که احتمال داشتن دندان های خراب را افزایش می دهد. کشیدن ناخن روی دندان های خود را امتحان کنید و ممکن است یک ماده سفید یا شفاف از روی آنها بردارید.

هرچه پلاک برای مدت زمان طولانی تری روی دندان های شما باقی بماند، خطر پوسیدگی دندان بیشتر خواهد بود.

شاید این مطلب نیز برای شما مفید باشد:  مقایسه براکت فلزی با براکت شفاف (اینویزالاین)

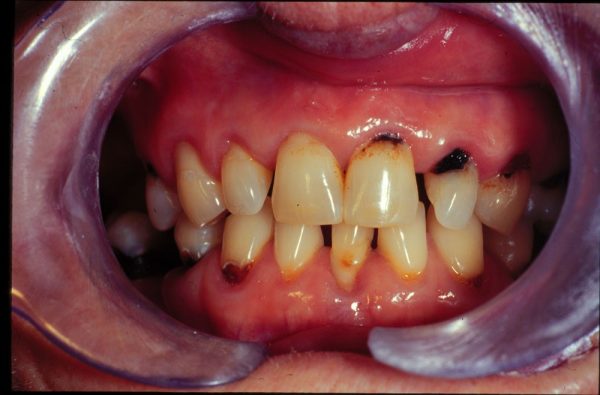
پوسیدگی دندان در خط لثه

حفره های دندانی در امتداد خط لثه ها زمانی شکل می گیرند که در اطراف خط لثه پلاک ایجاد می شود، و باعث خوردگی مینای دندان در آنجا می شود. گاهی اوقات این اتفاق زمانی می تواند رخ دهد که بافت لثه به دلیل پریودنتیت تحلیل می رود و ریشه های دندان را در معرض محیط دهان قرار دهد.

حفره های دندانی در امتداد خط لثه به همان روش درمان حفره های معمولی، معمولاً با پر کردن، درمان می شوند درمان می شوند. تفاوت این است که اگر یک حفره در ناحیه خط لثه به زیر لثه ها پیشروی کند، دسترسی به آن دشوارتر خواهد شد و ممکن است به جراحی لثه جزئی نیاز داشته باشید.

پوسیدگی دندان در زیر روکش های دندانی

پوسیدگی در زیر روکش ها زمانی اتفاق می افتد که پلاک در زیر روکش ها به دام بیفتد، یا زمانی که بخش طبیعی از دندان پوسیده می شود، و این پوسیدگی تا زیر روکش گسترش می یابد.

اگر این اتفاق رخ دهد، به یک روکش جدید نیاز خواهید داشت. در صورتی که آسیب به اندازه کافی گسترش یافته باشد، ممکن است به درمان ریشه نیاز داشته باشید.

علائم پوسیدگی دندان

پوسیدگی دندان چگونه به نظر می رسد؟ در مراحل اولیه، پوسیدگی به شکل یک نقطه کوچک سفید یا قهوه ای روی دندان شما ظاهر خواهد شد. ممکن است نتوانید متوجه این موضوع شوید اما دندانپزشک شما می داند دنبال چه چیزی باشد.

به همین دلیل مراجعه برای چکاپ های منظم بسیار مهم است؛ یک دندانپزشک می تواند پوسیدگی دندان یا یک حفره را در مراحل اولیه بیابد و آن را به راحتی درمان کند، اما اگر صبر کنید تا خودتان متوجه شوید که سوراخی در دندان شما بوجود آمده است، آسیب قبلاً خیلی بیشتر گسترش یافته است.

گذشته از آسیب قابل مشاهده در دندان، علائم پوسیدگی دندان شامل موارد زیر هستند:

  • درد دندان (گرچه درد در ابتدا معمولاً خفیف است).
  • درد هنگام جویدن یا گاز زدن.
  • حساسیت به غذاها و نوشیدنی های داغ یا سرد.
  • بوی بد دهان که برطرف نمی شود.
  • طعم تند و زننده داخل دهان.
  • تحلیل دندان در نتیجه آسیب پوسیدگی.

در صورتی که متوجه هر یک از این علائم پوسیدگی یا حفره دندان شدید، از دندانپزشک خود وقت ویزیت بگیرید تا قبل از آنکه دیر شود به مشکل زودتر رسیدگی شود.

پوسیدگی و حفره دندان

پوسیدگی و حفره دندان

مراحل پوسیدگی دندان

بسته به اینکه این پرسش را از چه کسی بپرسید، پوسیدگی دندان 4 تا 5 مرحله دارد، اما روند آن یکسان است:

  • دمینرالیزیشن Demineralization: دمینرالیزیشن (یا از بین رفتن مواد معدنی سطح دندان) زمانی است که لایه بالای دندان، که مینا نامیده می شود، شروع به ضعیف شدن می کند. وقتی این اتفاق رخ دهد، لکه های سفید روی دندان ها ظاهر خواهند شد.
  • پوسیدگی مینای دندان: با تجزیه شدن مینای دندان، آن لکه های سفید شروع به قهوه ای شدن می کنند. این زمانی است که حفره واقعی شروع به شکل گیری می کند.
  • پوسیدگی عاج: عاج زیر مینای دندان های شما است و بسیار نرم تر است. هنگامی که پوسیدگی می رسد، روند پوسیدگی سرعت می گیرید.
  • آسیب به پالپ: زیر عاج دندان، پالپ دندان، محل عروق خونی و اعصاب، وجود دارد. اگر اجازه داده شود پوسیدگی ادامه پیدا کند، پالپ از بین خواهد رفت.
  • آبسه: باکتری های موجود در پالپ دندان در حال پوسیده شدن می توانند باعث بروز عفونت به شکل آبسه شوند. این می تواند به بقیه دهان شما، سراسر فک و سر شما گسترش یابد.

چگونه بدانید که آیا دندان شما حفره دارد؟

اگر هنوز هیچ دردی در دندان وجود نداشته باشد، علائم حفره ممکن است جزئی باشند. در مورد یک حفره دندان، ممکن است بتوانید یک نقطه تیره روی دندان خود ببینید یا با زبان یا ناخن خود یک سوراخ کوچک در دندان خود احساس کنید.

درد حفره معمولاً شدیدتر از درد پوسیدگی اولیه دندان است زیرا عفونت به اعصاب موجود پالپ دندان رسیده است. با این حال، اگر این درد را نادیده بگیرید، ممکن است به صورت خود به خود ناپدید شود. این بدان معنی نیست که عفونت از بین رفته است؛ در حقیقت تاکنون گسترش یافته است به گونه ای که اعصاب را به طور کامل تخریب کرده است.

دیگر علائم حفره دندان عبارتند از افزایش حساسیت به غذاها و نوشیدنی های داغ و سرد است. به عنوان مثال، اگر زمانی که یک جرعه آب سرد می نوشید و متوجه درد دندان خود می شوید، ممکن است دندان های شما به توجه نیاز داشته باشند.

در نهایت، تنها دندانپزشک است که می تواند وضعیت دندان های شما را بررسی کند و به طور صحیح ارزیابی کند که هر خسارتی تا چه اندازه گسترش یافته است. او سپس در مورد بهترین دوره درمان پوسیدگی دندان به شما توصیه هایی خواهد داد.

اثرات دندان های پوسیده روی بدن

اگر پوسیدگی دندان یا حفره ای دارید که درمان نشده رها شده است، در واقع می تواند روی سلامت عمومی شما تأثیر منفی بگذارد. برخی از عوارض جانبی دندان های پوسیده روی سلامتی عبارتند از:

  • درد شدیدی که می تواند روی کیفیت زندگی شما تأثیر منفی بگذارد.
  • کاهش وزن و مشکلات تغذیه ای به دلیل مشکل در جویدن.
  • از دست دادن دندان که می تواند روی عزت نفس شما تأثیر منفی بگذارد.
  • دندان های پوسیده ممکن است منجر به آبسه دندان شوند، و این می تواند منجر به بروز عفونت های جدی و حتی تهدید کننده زندگی شود.
پوسیدگی و حفره دندان

پوسیدگی و حفره دندان

چگونه می توان از پوسیدگی دندان ها جلوگیری کرد؟

بهترین راه برای پرهیز از ایجاد حفره دندان، به طور کلی، جلوگیری از بروز پوسیدگی است. همانطور که قبلاً نیز اشاره کردیم، با کنترل آنچه می خورید و می نوشید و حفظ بهداشت خوب دهان و دندان می توانید پوسیدگی دندان را متوقف کنید.

در اینجا چند نکته دیگر در مورد چگونگی جلوگیری از ایجاد حفره های دندانی آورده شده اند:

  • اگر نوشیدنی های شیرین یا اسیدی می نوشید، از نی استفاده کنید تا تماس آنها با دندان های خود به حداقل برسانید.
  • اگر قادر به مسواک زدن نیستی ، آدامس بدون قند حاوی زایلیتول بجوید.
  • سر مسواک برقی خود را به طور مرتب تعویض کنید- به صورت ایده آل هر سه ماه یکبار.
  • از خمیر دندان فلورایده استفاده کنید.
  • مولتی ویتامین حاوی کلسیم، منیزیم و ویتامین D مصرف کنید.

همچنین ممکن است از دهانشویه ای استفاده کنید که حاوی مواد ضد باکتری است و برای جلوگیری از ایجاد حفره در دندان ها فلوراید اضافه داشته باشد. با این حال، بسیاری از متخصصان دهان و دندان توصیه می کنند که بلافاصله بعد از مسواک زدن از دهانشویه استفاده نکنید. علت این است که باعث شسته شدن مواد معدنی موجود در خمیردندان خواهد شد و از اثر بخشی آنها خواهد کاست.

به همین ترتیب، شستشوی دهان با آب بعد از مسواک زدن، باعث رقیق شدن مواد موجود در خمیردندان خواهد شد که برای محافظت از دندان ها در برابر پوسیدگی طراحی شده اند.

علاوه بر تکنیک صحیح مسواک زدن، ممکن است متوجه شوید بسته به مسواکی که استفاده می کنید، بهتر مسواک می زنید. اکثر ما عادت های مسواک زدنی داریم که می توانیم آنها را بهبود بخشیم، و یک مسواک برقی می تواند کمک کننده باشد. برخی از این مسواک ها تایمر دار ساخته شده اند که به شما امکان می دهند تا برای هر ربع دهان خود مدت مشخصی صرف کنید، در حالی که برای از بین بردن پلاک با 40،000 ارتعاش صوتی در دقیقه کار می کند.

نحوه معکوس کردن پوسیدگی دندان

اگر قبلاً علائم اولیه حفره های دندان را مشاهده کرده اید، ممکن است به این فکر کنید که چگونه می توانید پوسیدگی دندان را معکوس کنید یا بدون مراجعه به دندانپزشک چگونه می توانید پوسیدگی دندان ها را برطرف کنید.

اول: آیا می توان پوسیدگی دندان را معکوس کرد؟

خوب ، خبر خوب این است، اگر به این فکر می کنید که چگونه دندان های خود را دوباره معدنی سازی کنید، مینای دندان های ما می تواند تا مقدار خاصی خود را مجدداً معدنی کند و در نتیجه پوسیدگی دندان را درمان کند (اگر زود به آن رسیدگی کنید). و راهکارهای خانگی برای پوسیدگی دندان می توانند تقریباً در دسترس باشند، که بیشتر به رژیم غذایی و روتین بهداشتی دهان و دندان شما مربوط می شود.

شاید این مطلب نیز برای شما مفید باشد:  آمادگی قبل از جراحی کاشت ایمپلنت های دندانی

اگر غذاها و نوشیدنی های آسیب رسان را از رژیم غذایی خود حذف کنید و برای بهبود سلامت دهان و دندان خود تغییراتی ایجاد کنید، این به مینای دندان های شما فرصتی خواهد داد تا مواد معدنی از دست رفته را دوباره پر کند و آسیب های پوسیدگی دندان را معکوس کند.

همچنین، دندانپزشک شما بدون نیاز به ایجاد حفره در دندان می تواند درمان هایی را برای متوقف کردن روند پوسیدگی فراهم کند. این درمان های پوسیدگی دندان شامل ژل فلوراید، وارنیش های ضد عفونی کننده و فیشور سیلانت ها هستند. همچنین ممکن است بخواهید کیت های مخصوص معدنی سازی مجدد دندان ها را امتحان کنید. این به شما کمک خواهد کرد تا یک روتین بهداشتی دهان و دندان ایجاد کنید که برای سالم نگه داشتن مینای دندان های شما طراحی شده است. این کیت ها معمولاً شامل موارد زیر هستند:

  • دهانشویه برای سلامت مینای دندان ها
  • خمیر دندان برای سلامت مینای دندان ها
  • اسپری بهبود دهنده دهان
  • خوشبو کننده دهام
  • قلم برای سلامت مینا

بنابراین، به محضی که پوسیدگی دندان آغاز می شود، تا زمانی که زود مورد رسیدگی قرار گیرد، امکان معکوس کردن آن وجود دارد. اما در صورتی که علائم پوسیدگی دندان شدید شده باشند، دیگر این امکان وجود نخواهد داشت، همانطور که در زیر اطلاعات بیشتری در این زمینه کسب خواهید کرد.

در این صورت، آیا می توان یک حفره دندان را معکوس کرد؟ اگر پوسیدگی شدید دندان دارید و می توانید سوراخی را مشاهده کنید که به داخل دندان رسیده است، یا در حال حاضر درد دندان را تجربه می کنید، احتمالاً حفره دندان دارید و به درمان پوسیدگی دندان نیاز خواهید داشت؛ پوسیدگی دندان پس از رسیدن به این نقطه، دیگر قابل درمان نیست.

و اگر به این موضوع فکر می کنید که چگونه پوسیدگی دندان خود را از بین ببرید- پاسخ این است که در حقیقت شما نمی توانید آن را از بین ببرید. دندان شما یا باید به طور طبیعی مجدداً معدنی سازی شود، یا، اگر پوسیدگی در مرحله ای باشد که نیاز به زدودن داشته باشد، این کار دندانپزشک شما است و فقط دندانپزشک شما می تواند آن را انجام دهد.

پوسیدگی و حفره دندان

پوسیدگی و حفره دندان

چگونه می توان از شر حفره ها خلاص شد؟

مانند اکثر افرادی که با این مشکل مواجه هستند، اگر یکی از آنها را داشته باشید احتمالاً فکر می کنید که چگونه می توانید بدون پر کردن حفره از شر آن خلاص شوید. اگر پوسیدگی دندان فراتر از نقطه ای رفته باشد که به صورت طبیعی بهبود یابد، برای جلوگیری از گسترش بیشتر عفونت، نیاز به پر شدن خواهد داشت.

روند درمان به این بستگی خواهد داشت که پوسیدگی چقدر داخل دندان گسترش یافته است. ممکن است دندانپزشک برای ارزیابی اندازه و میزان حفره نیاز به یک عکس رادیوگرافی با اشعه ایکس داشته باشد، بخصوص اگر بین دندان های خود حفره هایی داشته باشید که دیدن آنها دشوار است.

اگر در مراحل اولیه مشکل را مورد رسیدگی قرار دهید، قبل از اینکه لایه مینای دندان کاملاً از بین برود، دندانپزشک شما ممکن است بتواند پوسیدگی را برداشته و بدون نیاز به تزریق بی حس کننده، یک پر کردن کوچک را انجام دهد. علت این است که هیچ اعصابی داخل مینای دندان وجود ندارد.

در مواردی که عفونت داخل دندان پوسیده بیشتر گسترش یافته است، دندانپزشک برای جلوگیری از بروز درد هنگام پر کردن حفره دندان، بی حس کننده تزریق خواهد کرد. برای یک حفره کوچک، درمان معمولاً ساده است و کمتر از 30 دقیقه طول می کشد.

اگر پوسیدگی دندان به داخل حفره پالپ و ریشه دندان گسترش یافته باشد، برای زدودن تمام مواد پوسیده به درمان ریشه نیاز خواهید داشت. دندانپزشک برای تقویت دندان و محافظت از آن در برابر آسیب بیشتر و پوسیدگی دندان، ممکن است روکش را توصیه کند.

زمانی که پوسیدگی گسترده باشد و مقدار بسیار کمی از بافت سالم دندان باقی مانده باشد، دندانپزشک بخش پوسیده دندان را به طور کامل، گاهی اوقات با جراحی دهان، خواهد تراشید. با این حال، به محض تجربه کردن علائم پوسیدگی دندان، می توانید با مراجعه منظم به دندانپزشک خود، از این امر جلوگیری کنید.

در صورت نیاز به کشیدن دندان های پوسیده، دندانپزشک شما گزینه های جایگزینی آن با دندان مصنوعی را توضیح خواهد داد. این موارد شامل پروتزها، بریج های دندان و ایمپلنت های دندان هستند.

استفاده از فلوراید دی آمین نقره (SDF) برای متوقف کردن پوسیدگی

فلوراید دی آمین نقره (SDF) فناوری و درمانی است که به تازگی در دندانپزشکی برای جلوگیری از ایجاد، گسترش، یا انتقال حفره یا پوسیدگی دندان ها به دندان های دیگر ابداع شده است. SDF یک جایگزین ایمن و بدون درد برای فرایندهای سنتی ایجاد حفره است.

مواد تشکیل دهنده SDF چیست؟

ممکن است فکر کنید که دقیقاً چه موادی در فلوراید دی آمین نقره وجود دارند، بنابراین ما فهرست آنها را در زیر آورده ایم:

  • نقره: باکتری ها را می کشد.
  • آب: یک پایه مایع برای محلول فراهم می کند.
  • فلوراید: به بازسازی دندان های شما (ترمیم مینا از طریق معدنی سازی مجدد) کمک می کند.
  • آمونیاک: محلول را غلیظ نگه می دارد، به گونه ای که تا حد امکان در برابر تشدید حفره مؤثر باشد.

مزایا و مضرات درمان با SDF

تحقیقات نشان می دهند که هیچ دلیلی وجود ندارد که دندانپزشکان قبل از درمان آنها با SDF، دیگر انواع کارهای ترمیمی را روی دندان های بیمار انجام دهند. همچنین توصیه می شود که برای نشان دادن نتیجه خوب برای افزایش مدیریت پوسیدگی دندان در کودکان و نوجوانان، اعمال SDF 38% نیاز است. این شامل درمان کسانی است که نیازهای ویژه مراقبت های سلامتی است.

SDF مؤثر، ایمن و بی ضرر محسوب می شود و امروزه توسط دندانپزشکان برای نوجوانان و کودکان به صورت گسترده مورد استفاده قرار می گیرد. گرچه مزایای بسیاری دارد، اما عوارض جانبی نیز دارد. در جدول زیر مزایا و معایب درمان SDF مقایسه خواهند شد:

مزایامعایب
مؤثر در متوقف کردن گسترش حفره های دندانی بعد از شکل گیری آنهانمی تواند برای بیمارانی که به نقره حساسیت دارند استفاده شود
باکتری هایی که مینای دندان ها را تجزیه می کنند را از بین می بردنمی تواند برای بیمارانی که زخم یا آفت دهان دارند استفاده شود
جایگزینی برای تراشیدن حفره های دندانینمی تواند برای بیمارانی که پوسیدگی گسترده یا بیماری لثه دارند استفاده شود
کاربردی برای رفع حساسیت دندان ها، توقف پوسیدگی، و پیشگیری از ایجاد حفرهممکن است باعث به جا ماندن لکه های تیره اطراف منطقه درمان شود

تحقیقات پیشرفته نشان می دهند که SDF می تواند با یدید پتاسیم یا فلوراید نقره- نانو استفاده شود که ایجاد لکه های تیره رنگ با SDF را محدود می کند.

هزینه های درمان حفره دندان

هنگام تخمین زدن هزینه پر کردن حفره دندان یا چند حفره مختلف، هزینه های مختلفی وجود دارند که باید مد نظر قرار بگیرند. در صورتی که پر شدگی نقره یا پر شدگی با مواد کامپوزیت سفید داشته باشید، و در محلی که درمان را دریافت می کنید، قیمت ها بسته به اندازه پر شدگی شما متفاوت خواهد بود.

پوسیدگی و حفره دندان

پوسیدگی و حفره دندان

پوسیدگی دندان در کودکان

متأسفانه، 3/2 میلیارد نفر در سراسر جهان از حفره در دندان های دائمی خود رنج می برند. در کشورهای فقیرتر، دندان های پوسیده به دلیل عدم در دسترس بودن مراقبت های بهداشتی، شایع تر است. بر اساس CDC، بیشتر از 40% از کودکان در ایالات متحده تا زمان رسیدن به مهد کودک حفره دندان دارند.

روش هایی که والدین می توانند با آنها به جلوگیری از پوسیدگی دندان در کودکان نوپا و کودکان کمک کنند، عبارتند از:

  • از مقدار قند موجود در غذای آنها آگاه باشید- نه فقط غذاهای شیرین بلکه چیزهایی مانند سس های ماکارونی و آبمیوه.
  • خوردن میان وعده بین وعده های غذایی را به غذاهایی محدود کنید که مملو از قند یا کربوهیدرات ها نیستند (سبزیجات و میوه های خام ایده آل هستند)
  • روی مسواک زدن کودک خود تا زمانی که به هفت سال یا بالاتر برسد نظارت داشته باشید.
  • به فکر استفاده از یک مسواک برقی مخصوص بچه ها با یک تایمر و سایر ویژگی های سرگرم کننده باشید.
  • از خمیردندان که حاوی فلوراید استفاده کنید.
  • آنها را برای چکاپ های منظم دندانپزشکی ببرید تا بتوانید هر مشکلی را زود هنگام درمان کنید.
شاید این مطلب نیز برای شما مفید باشد:  خطرات احتمالی و محدودیت های ارتودنسی برای افراد خاص

از دندانپزشک بپرسید: آیا شما به اندازه یک کودک مستعد پوسیدگی دندان هستید؟

کودکان غالباً مواردی از این قبیل را می شنوند “آب نبات زیاد نخورید وگرنه دندان های شما خراب خواهند شد”. اما تنها کودکان نیستند که در معرض خطر حفره و پوسیدگی دندان قرار دارند. از سوی دیگر، این لزوماً آب نبات نیست که باعث ایجاد حفره می شود، بلکه مشکل محیطی است که قند داخل دهان شما ایجاد می کند.

این می تواند کودکان و بزرگسالان را به یک اندازه تحت تأثیر قرار دهد. اخیراً، حتی نشان داده شده است که افراد بزرگسال بالای 65 سالگی با سرعت بیشتری نسبت به کودکان مدرسه، در حال تجربه کردن پوسیدگی دندان هستند. اگر نگران پوسیدگی دندان هستید، مطمئن شوید که:

  • دو مرتبه در روز، هر بار به مدت دو دقیقه دندان های خود را مسواک می زنید
  • هر شب نخ دندان می کشید
  • فلوراید را در روتین روزانه خود می گنجانید
  • هر شش ماه یک مرتبه به دندانپزشک خود مراجعه می کنید

درمان پوسیدگی دندان های کودکان

این می تواند ناراحت کننده باشد اگر متوجه شوید که کودک شما حفره دندان دارد، اما وجود بچه هایی که دندان های پوسیده دارند یک مشکل شایع است. و هرچه سریع تر به دندانپزشک مراجعه کنید، احتمال اینکه بتوانید آسیب دندان پوسیده را معکوس کنید، بیشتر می شود.

خبر خوب این است که درمان طبیعی دندان های جوان تربیشتر امکان پذیر است. دندان های شیری بویژه برای معدنی سازی مجدد خود خوب هستند، بنابراین ممکن است پوسیدگی دندان کودک نو پای شما نیاز به پر کردن نداشته باشد.

دندانپزشک به شما توصیه خواهد کرد که پس از آغاز پوسیدگی در دندان های فرزند شما، چگونه می توانید قبل از تبدیل شدن به حفره، آن را متوقف کنید. آنها ممکن است یک فیشور سیلانت اعمال کنند، که شیارهای موجود روی دندان های عقب، که بویژه در معرض خطر پوسیدگی هستند، را پوشش می دهد.

دندانپزشکان همچنین حداقل دو بار در سال اعمال وارنیش فلوراید برای کودکان سه ساله و بالاتر را توصیه می کنند. به منظور جلوگیری از پوسیدگی دندان در کودکان نوپا، اگر دندانپزشک فکر کند که لازم است، ممکن است کودکان خردسال این روش درمانی را دریافت کنند.

این وارنیش از دندان ها در برابر باکتری ها محافظت می کند و زمان می دهد تا پوسیدگی موجود بهبود یابد. اگر فرزند شما برای یک دندان پوسیده نیاز به پر کردن داشته باشد، کاملاً ممکن است که آنها به تزریق نیاز نداشته باشند. در صورت انجام این کار، دندانپزشک ژل بی حس کننده روی لثه اعمال خواهد کرد تا هیچ دردی از سوزن تزریق بی حس کننده احساس نکند.

حتی اگر خودتان هم نسبت به پر کردن دندان کودک نو پای خود احساس عصبی بودن کنید، سعی کنید آرام و خوش بین باشید. کودک شما تحت تأثیر احساس شما قرار می گیرد. این بسیار مهم است که دندان های پوسیده کودک شما تحت درمان قرار بگیرند، و اگر فکر می کنند که مراجعه به دندانپزشک چیز بدی است، این ممکن است آنها را از دنبال کردن مراقبت های دندانپزشکی که بعداً در زندگی لازم دارند، باز دارد.

چگونگی بهبود طبیعی حفره ها

آیا دندان ها می توانند به طور طبیعی بهبود یابند، و شما چگونه می توانید در منزل از شر حفره های دندانی خلاص شوید؟ متأسفانه، درمان پوسیدگی دندان در منزل تنها در صورتی یک گزینه است که پوسیدگی خیلی زود تشخیص داده شود و هنوز به یک حفره تبدیل نشده باشد. در صورت داشتن حفره، دندانپزشک شما باید برای از بین بردن آن حفره، چه با پر کردن و چه درمان ریشه، دندان شما را درمان کند، یا ممکن است مجبور شود دندان پوسیده را به طور کامل بکشد.

اگر هنوز حفره ای ندارید، بسته به مرحله پوسیدگی دندان، اگر از خوردن خوراکی های شیرین اجتناب کنید و بهداشت دهان را بهتر رعایت کنید، مینای دندان شما ممکن است بتواند به طور طبیعی بهبود یابد.

ما نمی توانیم به اندازه کافی روی این موضوع تأکید کنیم- اگر حفره ای دارید، باید به دندانپزشک مراجعه کنید. در صورتی که پوسیدگی دندان چند مرحله پیشرفت کند، هیچ درمانی خانگی طبیعی برای حفره ها قادر به کمک نخواهد بود.

نتیجه گیری

حفره ها مشکلاتی هستند که تعداد معدودی از افراد با موفقیت از بروز آن جلوگیری خواهند کرد، اما پیشگیری از حفره های دندانی جنبه مهمی از سلامت دندان است. اگر زودتر به دنبال درمان پوسیدگی دندان باشید، می توانید آن را به سادگی درمان کنید و حتی آن را معکوس کنید. هرچه مدت زمان بیشتری مراجعه به دندانپزشک را به تعویق بیندازید، پس از آنکه متوجه علائم پوسیدگی و حفره می شوید، درمان دندان پوسیده شما گسترده تر (و پرهزینه تر) خواهد بود.

نکات موجود در این مقاله برای بهبود سلامت دهان و دندان، و مدیریت مصرف مواد غذایی و نوشیدنی را دنبال کنید، و حداقل باید احتمال ایجاد حفره های دندانی کاهش دهید، حتی اگر نتوانید به طور کامل از پوسیدگی دندان جلوگیری کنید.

پرسش های متداول در مورد پوسیدگی و حفره های دندان

تفاوت بین پوسیدگی دندان و حفره دندان چیست؟

پوسیدگی دندان روندی است که زمانی رخ می دهد که پلاک مدت زمان زیادی روی دندان ها باقی می ماند، باکتری های موجود در این پلاک باعث ایجاد اسیدی می شوند که مینای دندان ها را تجزیه می کند.

هنگامی که این پوسیدگی راه خود را از درون مینای دندان باز کرده باشد، یک سوراخ شکل می گیرد و این حفره دندان شماست.

آیا حفره ها می توانند بهبود یابند؟

اگر پوسیدگی دندان شما گسترش یافته باشد، احتمالاً به این موضوع فکر می کنید که چگونه حفره های دندانی خود را بهبود دهید. هنگامی که یک حفره یا یک سوراخ واقعی در مینای دندان خود دارید، حفره شما قادر نخواهد بود به صورت خود به خود بهبود یابد. شما باید به یک دندانپزشک مراجعه کنید و آنها به احتمال زیاد مجبور خواهند بود برای توقف گسترش پوسیدگی دندان، آن را پر کنند.

اگر یک حفره کوچک دارید، درمان ساده است و می تواند در کمتر از 30 دقیقه به پایان برسد. اگر عفونت موجود در دندان پوسیده شما به پالپ یا ریشه دندان گسترش یافته باشد، به احتمال زیاد به درمان ریشه و شاید حتی کشیدن نیاز دارید.

آیا می توان پوسیدگی دندان را معکوس کرد؟

اگر پوسیدگی دندان زود مورد رسیدگی قرار گیرد، برخی روش ها وجود دارند که ممکن است در حقیقت بدن شما بتواند پوسیدگی دندان را معکوس کند. مینای دندان شما ممکن است بتواند تا حدی مجدداً معدنی سازی شود.

شما باید چیزهایی که باعث پوسیدگی دندان شما می شوند را قطع کنید- مانند رژیم غذایی حاوی قند خیلی زیاد.

دندانپزشک شما همچنین ممکن است بتواند از ژل فلوراید، وارنیش یا سیلانت دندان برای شما استفاده کند تا به معکوس کردن علائم دندان پوسیده کمک کند. همچنین، برای کمک به معکوس کردن پوسیدگی ممکن است بخواهید یک خمیر دندان معدنی کننده دندان خریداری کنید.

پوسیدگی و حفره دندان

پوسیدگی و حفره دندان

آیا نقاط سیاه روی دندان به معنای حفره هستند؟

اگر روی دندان های خود یا بین آنها دارید لکه های سیاه کوچک دارید و در نتیجه خوردن توت سیاه یا مسواک زدن با ذغال فعال ایجاد نشده است، ممکن است کاملاً یک حفره باشد.

لکه های قرمز یا قهوه ای ممکن است به معنای پوسیدگی دندان باشند و لکه های قهوه ای یا سیاه ممکن است حفره باشند.

علاوه بر این، حفره های دندان می توانند به شکل پوسیدگی سیاه دندان نیز ظاهر شوند. دندان پوسیده سیاه چیزی است که نیاز به مراقبت فوری دندانپزشکی دارد، بنابراین بسیار مهم است که در صورت مشاهده هر یک از این علائم، به دندانپزشک مراجعه کنید.

یکی دیگر از دلایل سیاه شدن دندان ها ممکن است در واقع وجود پلاک سیاه روی دندان ها، یا تارتار سیاه روی دندان ها باشد. این زمانی می تواند رخ دهد که پلاک تشکیل شده روی دندان های شما مواد معدنی موجود در مایعات داخل دهان و لثه ها را جذب کند، که باعث سیاه شدن آنها می شود.

خوب نیست که روی دندان های خود تارتار داشته باشید، بنابراین حتی اگر فکر می کنید که این تارتار است و حفره نیست، هنوز هم باید به دندانپزشک مراجعه کنید و آن را درمان کنید.

در نهایت، اگر در پایه دندان خود، در امتداد لثه لکه های سیاه دارید، این می تواند ناشی از پوسیدگی دندان در کنار خط لثه، یا می تواند چیز دیگری مانند بیماری لثه باشد.