تانگ تراست نوعی الگوی بلع است که در آن زبان رو به جلو و بین یا پشت دندان ها فشار وارد می کند. به همین دلیل، این نوع الگوی بلع تحت عنوان اختلال مایوفانکشنال دهانی یا الگوی بلع نوزادی نیز شناخته می شود.

مشهودترین مشخصه ویژه این رفتار جلو آمدن زبان در طول بلع و در حالت استراحت است. عضلات دیگری وجود دارند که عملکرد نادرستی دارند، اما به راحتی قابل مشاهده نیستند. وضعیت قرار گیری نادرست لب ها، زبان، و فک هم روی بلع و هم روی تولید صدای گفتار تأثیر می گذارد. بعلاوه، والدین پیوسته از مشکلات شیردهی چه از سینه مادر و چه با شیشه شیر از بدو تولد شکایت دارند یا از مشکلات گفتاری که کودک آنها ممکن است در آینده داشته باشد شکایت دارند.

تانگ تراست در نوزادان طبیعی است تا از مجرای تنفسی آنها محافظت کند. در طول تانگ تراست، عقب زبان رو به جلو و بالا به سمت سقف دهان حرکت می کند. زبان رو به دندان های جلو فشار داده می شود، که از نظر رشد باعث می شود دندان ها به مرور زمان رو به بیرون حرکت کنند. وقتی کودک از نوزادی وارد خردسالی می شود، و همچنان علائم تانگ تراست را نشان می دهد، باید برای درمان اقدام کرد.

تانگ تراست یا فشار زبان پشت دندانها

تانگ تراست یا فشار زبان پشت دندانها

علائم الگوی بلع تانگ تراست

ویژگی های الگوی غذا خوردن تانگ تراست:

  • عدم استفاده از عضلات صورت یا کشیدگی عضلات صورت.
  • خارج شدن ذرات غذا پس از بلع از حفره دهان.
  • قرار گیری نادرست زبان پشت یا بین دندان ها.
  • عدم تماس دندان های مولر در طول بلع.
  • الگوی شیرخوارگی هنگام نوشیدن با فنجان یا نی.
  • تنفس دهانی
  • قابل مشاهده بودن زبان نزدیک جلوی دهان یا بین دندان ها هنگام گفتار یا بلع.
  • ترک خوردگی لب ها و زخم های ناشی از لیسیدن مداوم لب ها.
  • درد مفاصل فکی گیجگاهی
  • ریلپس ارتودنتیک (بازگشت دندان ها به جای قبل از درمان ارتودنسی)
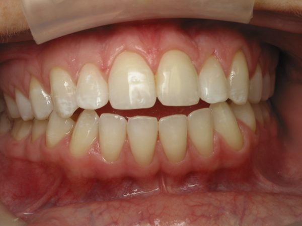
  • اپن بایت.

انواع تانگ تراست

انواع متعدد تانگ تراست ها وجود دارند، که هر یک از آنها نشان دهنده مشکل ارتودنتیک منحصر بفرد خود است.

  • تانگ تراست قدامی: اپن بایت قدامی شایع ترین نتیجه تانگ تراست می باشد. مشخصه اصلی آن این است که هنگام بستن بایت تنها دندان های خلفی با یکدیگر تماس دارند و بقیه بایت باز است، مخصوصاً دندان های قدامی. اغلب اوقات، لب های بیمار به درستی و به طور کامل بسته نمی شوند. در صورتی که زبان بزرگ تر از حد معمول باشد نیز اغلب چنین نشانه هایی تظاهر پیدا می کنند.
  • تانگ تراست یک طرفه: که مشخصه ویژه آن اپن بایت دندان های خلفی تنها در یک سمت دهان است.
  • تانگ تراست دو طرفه: که مشخصه ویژه آن اپن بایت دندان های خلفی در هر دو سمت دهان است، در حالی که دندان های قدامی به خوبی روی یکدیگر قرار خواهند گرفت. اغلب اصلاح این نوع تانگ تراست از طریق درمان ارتودنسی دشوارتر از هر مورد دیگری خواهد بود.
  • تانگ تراست با بایت بسته: که مشخصه ویژه آن این است که دندان های قدامی فک های بالا و پایین که هنگام گاز زدن روی یکدیگر قرار می گیرند، اما از یکدیگر فاصله دارند و رو به جلو منحرف شده اند.
شاید این مطلب نیز برای شما مفید باشد:  کریر موشن ابزاری برای درمان مال اکلوژن کلاس 2

علل معمول تانگ تراست

رفتارها/ علل مختلفی وجود دارند که غالباً با تانگ تراست اتفاق می افتند. رسیدگی به این رفتارهای در اوایل دوره درمان ضروری است. اگر به این رفتارها رسیدگی نشود، احتمالاً مانع پیشرفت خواهند شد. این رفتارهای شامل موارد زیر می باشند:

  • عادات مکیدن؛ اساساً انگشت، شست، و مکیدن پستانک برای مدت زمان طولانی.
  • وضعیت باز قرار گرفتن لب ها.
  • تنفس دهانی.
  • بزرگ شدن لوزه ها/ آدنوئیدها.
  • ضعف لب ها یا زبان.
  • ناصاف و غیر همراستا بودن دندان ها.
  • آلرژی ها/ آسم.
  • بلند بودن قوس دندانی و یا باریک بودن پلیت (کام یا سقف دهان).
  • گره زبانی.
  • استفاده طولانی مدت از پستانک و شیشه شیر.
  • استفاده طولانی مدت از روش جرعه جرعه نوشیدن مایعات.
  • سینوزیت.
  • بزرگ بودن غیر عادی زبان.
  • کوچک بودن غیر عادی فک.
  • سندروم داون.
  • فلج مغزی.
تانگ تراست یا فشار زبان پشت دندانها

تانگ تراست یا فشار زبان پشت دندانها

آیا می توان تانگ تراست را درمان کرد؟

در سراسر دنیا، 75% از موارد درمان شده تانگ تراست به نظر موفقت آمیز بوده اند؛ 20% آنها به دلیل عدم همکاری بیمار با پزشک و عدم تعهد به روند درمان ناموفق بوده اند؛ و 5% باقی مانده به دلیل عوامل دیگری ناموفق بوده اند که اصلاح را غیر ممکن می سازند، ماندن مشکلات رشد ذهنی یا جسمی.

مشکال تانگ تراست است و درمان آن یک درمان جدید به نام درمان مایوفانکشنال اوروفاسیال است. اوروفاسیال یعنی مربوط به دهان و صورت، مایوفانکشنال به معنی عملکرد عضلات است. به طور کلی یعنی درمان عملکرد عضلات صورت و دهان.

درمان ممکن است شامل موارد زیر باشد:

  • آموزش بیمار و والدین او در مورد اهمیت وضعیت صحیح زبان و لب هنگام استراحت و بلع.
  • آموزش آگاهی برای ایجاد وضعیت صحیح قرار گیری لب ها و زبان
  • ورزش و تمرین برای ایجاد حرکات مناسب بلع.

آیا می دانسته اید؟

موانع گفتار افراد بزرگسال قابل اصلاح است. درمان متفاوت است و به نوع اختلال بستگی دارد. توسط یک متخصص آموزش دیده با ارزیابی صحیح، بسته به علل اصلی اختلال گفتار، می تواند یک برنامه درمانی فردی مناسب به شما ارائه دهد.

درمان ارتودنسی تانگ تراست

متخصصان متعددی هیتند که برای تشخیص تانگ تراست با کفایت می باشند. ارتودنتیست ها، دندانپزشکان عمومی، دندانپزشکان کودکان، و گفتار درمانگرها قادر به تشخصی مشکل می باشند. این مشکل اغلب تشخیص داده نمی شود تا زمانی که مشکلات دندانی یا مشکلات گفتاری کودک به دلیل عادات نادرست نیاز به درمان داشته باشند.

شاید این مطلب نیز برای شما مفید باشد:  انتخاب رنگ های متنوع راهی برای جذاب کردن بریس ها

تانگ تراست در بسیاری از بیمارانی که تحت درمان ارتودنسی قرار دارند موجب کج شدن دندان ها و بروز مشکلات بایت می شود. برای اطمینان حاصل کردن از اینکه آیا درمان ارتودنسی برای اصلاح بایت بیمار موفق خواهد بود، عادت تانگ تراست نیز باید اصلاح شود. در صورتی که دندان ها و بایت اصلاح شوند اما تانگ تراست باقی بماند، بیمار تقریباً همیشه پس از درمان ریلپس (بازگشت به حالت قبل از درمان) اپن بایت را تجربه خواهد کرد.

درمان نخست، همانطور که در بالا نیز به آن اشاره شد، درمان مایوفانکشنال نامیده می شود که شامل تمرینات و ورزش هایی برای بازآموزی عضلات زبان است. برای موفق بودن این درمان، بیمار و والدین وی باید به دنبال کردن روند درمان متعهد باشند. در صورتی که روند درمان به درستی دنبال شود، بالاترین درصد نتایج مطلوب را برای بیماران تحت درمان ارتودنسی خواهد داشت.

توقف و ترک عادت همیشه هم ساده نیست. زیرا عضلات طی یک بازه زمانی چند ساله برنامه ریزی شده اند (یا به عملکرد اشتباه خود عادت کرده اند). بدن فرد نمی دارند چگونه باید به درستی از عضلات زبان و صورت استفاده کند و نیاز به کمک دارد.

این بازآموزی بسیار مهم است زیرا اگر انجام نشود و درمان ارتودنسی انجام شود، نتایج می توانند با مشکل مواجه شوند.

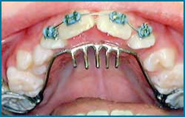
با این حال، بیماران دیگر ممکن است نیاز به استفاده از ابزارهای خاصی داشته باشند تا به آنها کمک کند عادت تانگ تراست خود را متوقف کنند. یک ابزار تانگ تراست از جنس فلز ضد زنگ روی دندان ها قرار می گیرد، و اجزایی به آن متصل شده اند که مانع فشردن زبان رو به جلو می شود.

این ابزار چیزی سبیه یک قفس است که با دو بند که به دور دندان های مولر قرار می گیرند، در پشت دندان های جلوی فک بالا جای می گیرد. این قفس از سقف دهان آویزان است و حدود یک چهارم قوس دندانی داخل حفره دندانی را می گیرد و به مدت چند ماه در جای خود باقی می ماند. این درمان اغلب راهکاری موقتی برای مشکل است. این ابزار موجب استحکام یا بازآموزی عضلات زبان نخواهد شد، اما در غذا و خوردن و گفتار اختلال ایجاد خواهد کرد. و وقتی برداشته می شود، به احتمال زیاد، زبان به الگوی رفتاری خود باز خواهد گشت و مجدداً شروع به جابجا کردن دندان ها خواهد کرد.

ارتودنتیست ها به بیماران خود می گویند که ممکن است بریس ها و ابزار قفس مانند در مبارزه پیروز شوند، اما در نهایت زبان آنها پیروز جنگ خواهد بود.

در صورتی که کودک شما علائم اپن بایت را دارد، نوک زبانی حرف می زند، یا هر یک از علائمی که در بالا فهرست شدند را از خود نشان داد، بهتر است یک جلسه مشاوره با یک ارتودنتیست داشته باشید. هر چه این عادت زودتر تشخیص داده شود، و درمان زودتر آغاز شود، می توان امید داشت آسیب های کمتری به بایت کودک وارد شود و درمان زودتر با موفقیت تکمیل شود.

تانگ تراست یا فشار زبان پشت دندانها

تانگ تراست یا فشار زبان پشت دندانها

آیا تانگ تراست می تواند روی درمان ارتودنسی تأثیر داشته باشد؟

اگر شما نیز قبلاً بریس ارتودنسی داشته اید، قطعاً ممکن است راجع به این موضوع فکر کنید، که مطمئناً زبان شما عامل همه مشکلات ارتودنتیک شما بوده است. علاوه بر این، می ترسید که ببینید بلع شما چگونه می تواند روی درمان ارتودنتیک شما تأثیر بگذارد.

شاید این مطلب نیز برای شما مفید باشد:  حساسیت شدید در طول درمان ارتودنسی

اگر شما بریس ارتودنسی دارید یا داشته اید، تانگ تراست به دو دلیل می تواند مشکل آفرین باشد:

  • تانگ تراست یه دندان های صاف و یکدست شما فشار وارد کند و آنها را از راستای صحیح خود خارج کند.
  • تانگ تراست با طولانی کردن روند درمان شما با بریس ها روی درمان ارتودنسی شما تأثیر می گذارد. ارتودنتیست شما سعی خواهد کرد یک مشکل را برطرف کند و الگوی نادرست بلع شما مشکل جدیدی بوجود خواهد آورد.

ممکن است لازم باشد یک دوره زمانی طولانی مدت قبل از قرار دادن بریس ها روی دندان ها از ابزارهای ترک عادت تانگ تراست استفاده شود. مهم است بدانید که وقتی نوبت به اصلاح تانگ تراست می رسد چه گزینه هایی دارید. گاهی اوقات یک ابزار می تواند همراه با یک روش درمان دیگر کار کند.

آیا کودک من برای تانگ تراست نیاز به درمان دارد؟

در مرحله اول، تمرکز درمان روی رسیدن به عملکرد طبیعی گروه های عضلات مربوط به حرکات زبان و بلع می باشد. این درمان ها عبارتند از شناسایی و حذف رفتارهای دهانی ناخواسته، ورزش ها و تمرینات مختص بیمار، اصلاح وضعیت قرار گیری زبان در حالت استراحت، و آموزش الگوی بلع صحیح. علاوه بر این، یک برنامه خانگی یک بخش ضروری درمان است. برای مشاهده موفقیت، برنامه باشد هر هفته چندین مرتبه تکمیل شود (ترجیحاً هر روز).

پیامدهای عدم اصلاح الگوی تانگ تراست عبارتند از:

  • مشکلات گفتاری
  • مسائل دندانی/ ارتودنتیک
  • مشکلات ظاهری (وضعیت باز ماندن دهان، جلو آمدگی زبان، جاری شدن بزاق دهان به خارج از دهان به صورت غیر ارادی.
  • پایین آمدن سطح اعتماد به نفس به دلیل عادات بد غذا خوردن (رفتار نامناسب سر میز/ غذای نامرتب/ صرف زمان طولانی برای اتمام یک وعده غذایی، اذیت کردن توسط همسالان)
  • مشکلات تغذیه ای و مسائل مربوط به سلامتی (انتخاب محدود غذا، جویدن نشدن غذا، اختلالات گوارشی)
  • مشکل در حمل و نقل دهانی که منجر به خفگی، آسپیراسیون، می شود.

کودکی که به دلیل ابتلا به تانگ تراست برخی حروف را نادرست ادا می کند، هرگز بدون اصلاح الگوی تانگ تراست خود موفق به ادای صحیح حروف نخواهد شد. به همین دلیل، یک گفتار درمانگر می تواند یک ارزیابی کامل انجام دهد تا مشخص نماید آیا تانگ تراست موجب بروز ادای ناصحیح حروف شده است یا ممکن است در آینده موجب بروز اشتباه در تلفظ شود. درمان برای اصلاح موقعیت و حرکات صحیح زبان می تواند برای اصلاح ادای حروف و یا پیشگیری از مشکلات گفتاری در آینده آغاز شود.

بیمارانی که درمان تانگ تراست خود را با استفاده از تغییر الگوی عضلات زبان تکمیل می کنند عموماً در ادامه زندگی خود لبخندی زیبا و سلامت دندانی فوق العاده ای خواهند داشت.