در این نوشته می خوانید:
بریس های فلزی یکی از انواع ابزارهای ارتودنسی هستند که عموماً برای صاف و یکدست کردن دندان ها و اصلاح موقعیت دندان هایی استفاده می شوند که کج هستند. علاوه بر این، آنها فواصل بین دندان های شما را نیز می بندند. افراد در تمام سنین، شامل افراد بزرگسال، می توانند بریس ها را دریافت کنند. جایگزینی برای بریس های فلزی بریس های نامرئی پلاستیکی هستند. فرایند استفاده از آنها بسیار متفاوت تر از استفاده از بریس های فلزی است.
پس از دریافت بریس ها، ممکن است چند ماه یا چند سال طول بکشد تا بریس ها به آرامی دندان های شما را فشار دهند تا به سمت موقعیت صحیح خود حرکت کنند. وقتی زمان درست فرا برسد، ارتودنتیست جلسه ای را برای برداشتن بریس های شما اختصاص خواهد داد.
ممکن است فکر کنید که این کار حسی شبیه آزاد شدن دندان های شما داشته باشد!
در این مقاله ما قصد داریم به فرایندی بپردازیم که عموماً برای برداشتن براکت های ارتودنسی از روی دندان ها پس از اتمام درمان ارتودنسی انجام و در ادامه به بیان خطراتی می پردازیم که ممکن است در صورت دنبال نکردن پروتکل های صحیح بیماران را تهدید کند.
شما بالأخره درمان ارتودنسی خود را به اتمام رسانده اید و اکنون آماده هستید لبخند جدید خود را که بهبود زیادی داشته است نشان دهید. حالا که درمان ارتودنسی شما به پایان رسیده است ارتودنتیست براکت های ارتودنسی شما را برخواهد داشت. دیباندینگ عبارت است از فرایند برداشتن سمان یا چسب ارتودنسی که با آن براکت های ارتودنسی شما روی دندان های شما چسبانده شده اند.
شما می توانید انتظار داشته باشید جلسه دیباندینگ تقریباً حدود یک ساعت طول بکشد. از پلایرها برای برداشتن براکت ها و سیم ها استفاده خواهد شد و در نهایت دندان های شما پولیش خواهند شد تا هر گونه چسب اضافی باقی مانده روی دندان های شما زدوده شود.
آیا فرایند برداشتن بریس ها از روی دندان ها درد دارد؟
برداشتن براکت ها از روی دندان ها یک فرایند بدون درد است، و اکثر افراد هنگام برداشتن بریس ها هیچ دردی احساس نخواهید کرد. با این حال، اکثر اقدامات دندانپزشکی مقداری ناراحت کننده هستند و می توانید انتظار داشته باشید هنگام برداشته شدن براکت ها مقدار اندکی فشار یا سوزش احساس کنید. علت این است که فشار روی دندان ها ناگهان برداشته می شود. دندان های حساس خواهند بود زیرا هیچ چیز آنها را کنار یکدیگر نگه نخواهد داشت.
شما با دریافت داروهای مسکن OTC مانند ایبوپروفن می توانید درد خود را کنترل کنید.
آیا فرد می تواند خود برای برداشتن براکت ها اقدام کند؟
بریس ها تنها باید توسط یک ارتودنتیست معتبر و مجرب برداشته شوند. آنها ابزارهای مخصوصی دارند که می توانند با آنها بدون هیچ خطری براکت ها و سیم های کمانی را از روی دندان های شما بردارند. اگر خودتان در منزل برای برداشتن براکت ها اقدام کنید ممکن است به خودتان آسیب بزنید، زیرا برخی قطعات نسبتاً تیز هستند.
موارد متعددی وجود دارند که افراد به صوت تصادفی قطعات قطعات بریس های خود را بلعیده اند. سیم های ارتودنسی نیز ممکن است بشکنند، و براکت ها ممکن است از روی دندان ها بلغزند و یا بلعیده شوند یا وارد دستگاه تنفسی شوند. این می تواند منجر به بروز فوریت های پزشکی شود. در حالی که در برخی موارد اندک این اتفاقات در مطب ارتودنسی رخ داده اند، اما وقتی اجازه می دهید یک متخصص این کار را انجام دهد، شما در دستان امن تری قرار دارید.
آماده سازی برای برداشتن بریس ها
هیچ روشی وجود ندارد که بهترین راه برای آماده سازی به منظور برداشتن بریس ها باشد. با این حال، اگر شما به انجام فرایندهای دندانپزشکی حساسیت دارید، قبل از مراجعه به ارتودنتیست برای انجام این کار، ممکن است بخواهید به فکر استفاده از مسکن هایی باشید که دریافت آنها از داروخانه نیازی به نسخه پزشک ندارد. علاوه بر این، قبل از مراجعه باید دندان های خود را مسواک بزنید. این کار باعث خواهد شد فرایند برداشتن بریس ها هم برای شما و هم برای ارتودنتیست شما راحت تر باشد.
فرایند برداشتن بریس ها از روی دندان ها
- برای برداشتن بریس ها، ارتودنتیست شما از ابزارهای فلزی خاصی برای لق کردن هر براکت از روی دندان ها استفاده خواهد کرد. این ابزارهای معمولاً بریس های –براکت ها و سیم ها- شما را به صورت یک تکه برخواهد داشت. اگر شما بند مولر دارید، که نوعی بند فلزی است که بریس های شما را محکم روی دندان های مولر نگه می دارد، ارتودنتیست آنها را نیز با لغزاندن بیرون خواهد آورد.
- وقتی همه بریس ها برداشته می شوند و چسب های باقی مانده زدوده می شوند، برخی بیماران احساسی که از دندان های خود دارند را اینگونه توصیف می کنند، انگار دندان ها باریک تر شده اند. ممکن است لثه های شما مقداری احساس سوزش یا التهاب داشته باشند، اما این احساس پس از دو تا سه روز برطرف خواهد شد.
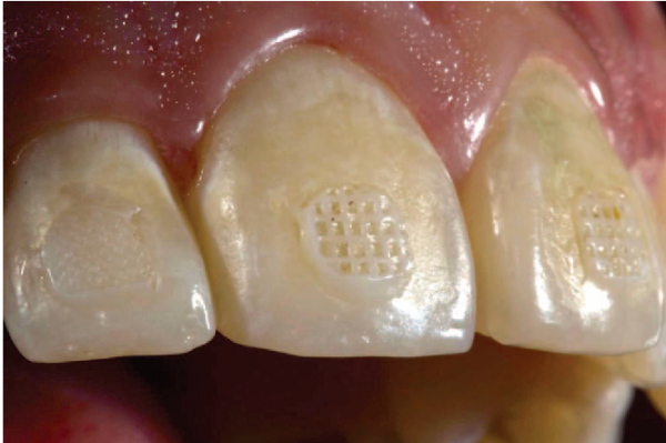
افراد بسیاری در مورد این موضوع از ما سؤال می پرسند که پس از برداشتن براکت ها، چسب براکت های ارتودنسی چگونه زدوده می شود. مهم ترین نکته در دیباندینگ این است که تمام سمان یا چسب ارتودنتیک، بدون هیچ گونه آسیبی به مینای دندان، زدوده شود و سطح دست نخورده دندان به صورت صاف و صیقلی باقی بماند. هدف دیباندینگ برداشتن پیوندی است که بین براکت ها و دندان ها وجود دارد، و نیز تمام رزین چسبنده از روی سطح دندان ها، و احیاء سطوح دندان ها تا حد امکان نزدیک به شرایط قبل از آغاز درمان بدون بروز هیچ گونه آسیب ناشی از خطای پزشکی. برای دستیابی به این اهداف، استفاده از یک تکنیک صحیح از اهمیت ویژه ای برخوردار است. دیباندینگ ممکن است به صورت غیر ضروری زمان بر باد و اگر با تکنیک نادرست یا با بی دقتی انجام شود ممکن است به مینای دندان ها آسیب وارد کند.
ما توصیه می کنیم ارتودنتیست ها از پلایرهای مخصوص دیباندینگ برای فشردن بال های براکت از طرفین رو به یکدیگر استفاده کنند و با یک نیروی پوست کندن براکت را از روی دندان جدا کنند. این روش بویژه برای دندان هایی مفید است که شکننده و لق هستند و تحت درمان اندودانتیک (درمان ریشه) قرار گرفته اند. به احتمال زیاد یک شکستگی در ماده چسبنده براکت بوجود می آید، بنابراین مقداری ماده چسبنده روی مینای دندان باقی می ماند. تلاش برای برداشتن براکت با بریدن آن می تواند به بیمار آسیب برساند و به طور بالقوه به مینای دندان آسیب برساند.
برداشتن چسب باقی مانده ممکن است با تراشیدن آن با یک بند تیز یا با پلایری قابل انجام باشد که برای برداشتن بندها استفاده می شود، یا با اسکیلر (دستگاه جرمگیری) یا با استفاده از یک مته مناسب. با این حال، نخستین روش سریع و اغلب روی دندان های خمیده مانند دندان های پرمولر و دندان های نیش موفقیت آمیز است، البته برای دندان های مسطح قدامی نیز مفید است. خطری که وجود دارد ایجاد خراش های قابل توجه روی سطح دندان ها می باشد.
گزینه جایگزینی که ترجیح داده می شود استفاده شود کاربید تنگستن البته نمونه دستی آن است. حرکات سبک مته شبیه رنگ کردن باید استفاده شوند مبادا روی مینای دندان خراشی ایجاد شود. هنگام برداشتن آخرین باقی مانده های چسب از روی دندان باید از اسپری آب سرد کننده استفاده شود زیرا آب از سطح تماس با مینای دندان می کاهد. وقتی همه چسب ها تمیز شدند، ممکن است لازم باشد سطح دندان ها به طور منظم با خمیر پروفیلاکسی پولیش شود، با این حال به دلیل پوسیدگی و ساییدگی سطح دندان ها ممکن است لازم باشد این گام به صورت انتخابی انجام شود.
از طرف دیگر، از آنجا که بریس ها محل مناسبی برای انباشته شدن ذرات غذا و باکتری ها روی دندان ها بوده اند، پس از برداشته شدن بریس ها دندان های شما نیاز به پاکسازی کامل دارند.
- پس از پاکسازی کامل دندان ها، ارتودنتیست از دندان های شما عکس رادیوگرافی با اشعه ایکس خواهد گرفت یا احتمالاً از بایت شما قالب یا عکس دیجیتال خواهد گرفت. این کار به منظور بررسی این موضع است که آیا بریس ها کار خود را به خوبی انجام داده اند یا خیر. این اندازه گیری ها و نمونه دیجیتالی از دندان ها و دهان شما می توانند برای ساخت ریتینر برای شما نیز استفاده شوند. پس از برداشته شدن بریس ها، شما ریتینر دریافت خواهید کرد تا این اطمینان حاصل شود که دندان های شما در جای خود باقی خواهند ماند و کاری که با زحمت بریس ها انجام شده است به هدر نخواهد رفت. ارتودنتیست توضیحات لازم در خصوص نحوه استفاده از ریتینر را به شما خواهد داد.
- در نهایت، ارتودنتیست دندان های عقل شما را (در صورت وجود) بررسی خواهد کرد. اگر دندان های عقل شما در حال بیرون آمدن باشند، پس از برداشتن بریس ها، ارتودنتیست شما ممکن است توصیه کند که آنها را بکشید. این کار از جابجایی ناخواسته دندان ها پیشگیری خواهد کرد.
مراقبت های دهانی پس از برداشتن بریس ها
شما متوجه خواهید شد که پس از برداشتن بریس ها از روی دندان ها، تمیز کردن دندان هایتان بسیار ساده تر شده است اما باید همان مقدار زمان و توجه را برای آنها صرف کنید تا مطمئن شوید آنها سالم باقی خواهند ماند.
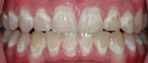
حتماً چند مرتبه در طول روز مسواک بزنید، مخصوصاً پس از صرف غذا. شما باید نخ دندان کشیدن روزانه را نیز به خوبی ادامه دهید. استفاده از دهانشویه نیز ممکن است به کاهش هر گونه تغییر رنگ ناشی از بریس ها به شما کمک کند، کاری که درمان های سفید کننده نیز می توانند انجام دهند. در برخی موارد، تغییر رنگ ممکن است به صورت خود به خود و طی فرایند طبیعی ریمینرالیزیشن (معدنی سازی مجدد) برطرف شود.
در صورتی که دندان های شما پس از برداشتن بریس ها سوزش و درد داشته باشند، ممکن است لازم باشد به فکر پرهیز از مصرف غذاهایی باشید که سفت و چسبناک هستند. از نان های سفت، پاپ کورن، آبنبات های سفت، و سبزیجات خام بپرهیزید تا زمانی که دندان های شما دوباره احساس طبیعی داشته باشند. اگر لثه های شما متورم هستند، تروم آنها ظرف حدود 2 ماه پس از برداشته شدن بریس ها برطرف خواهد شد.
اگر ارتودنتیست برای شما ریتینر تجویز کرده است، باید آن را طبق دستور العمل استفاده کنید. در غیر اینصورت، دندان های شما ممکن است رو به عقب و به سمت محل اصلی خود جابجا شوند و ممکن است تمام مدت شما نیاز به بریس ها داشته باشید! مطمئن شوید پاکسازی منظم دندان ها را انجام دهید، و برای جلسات پیگیری به طور منظم به ارتودنتیست مراجعه می کنید تا وضعیت دندان های شما را چک کند.
ترک های مینای دندان
ترک هایی که به صورت خطوط شکافته در مینای دندان ایجاد می شوند، شایع هستند اما اغلب توسط متخصصان نادیده گرفته می شوند زیرا تشخیص آنها دشوار است و در عکس های معمول داخل دهانی مشاهده نمی شوند.
ترک های مینای دندان ها می توانند علت های متعددی داشته باشند. اشکال مختلف ضربات مکانیکی و حرارتی ممکن است باعث شکستگی مینای دندان ها پس از رویش دندان شوند؛ این ناشی از تفاوت قابل توجهی می باشد که در استحکام بین مینا و عاج دندان وجود دارد.
شیوع ترک های مینای دندان، توزیع آنها، محل قرار گیری آنها روی سطح دندان، و نوع آنها، نشان داده است که ترک های عمودی شایع تر هستند و در حقیقت بیش از 50% از تمام دندان هایی که تحت بررسی قرار گرفته بودند چنین ترک هایی را داشتند، ترک های افقی و مورب به طور معمول مشاهده می شوند، و از قابل توجه ترین ترک ها می توان به دندان های مرکزی فک بالا و دندان های نیش فک بالا اشاره کرد.
نکته پایانی
اکثر افرادی که بریس دارند منتظر روزی هستند که قرار است بریس ها برداشته شوند. این فرایند نسبتاً مستقیم است. گرچه ممکن است ناراحت کننده باشد، اما به ندرت ممکن است دردناک باشد. مطمئن شوید وقتی بریس های شما برداشته می شوند، دستور العمل های ارتودنتیست خود را برای مراقبت بعدی، استفاده از ریتینر، و مراجعات بعدی دنبال می کنید. مسواک زدن منظم، نخ دندان کشیدن، و پاکسازی ها به شما کمک خواهند کرد مطمئن شوید دندان های شما بهترین ظاهر خود را دارند.







ثبت ديدگاه