در این نوشته می خوانید:
دو نوع بیماری وجود دارند که می توانند لثه ها را تحت تأثیر قرار دهند: ژنژیویت و پریودنتیت. ژنژیویت و پریودنتیت با هم تحت عنوان بیماری لثه یا بیماری پریودنتال شناخته می شوند.
مؤسسه ملی بهداشت، بیماری پریودنتال (لثه) را به عنوان تعریف می کند: “التهاب و عفونتی که بافت هایی را از بین می برد که دندان ها را در جای خود نگه می دارند، از جمله لثه ها، الیاف های لیگامان پریودنتال و حفره های دندان (استخوان آلوئولار) ” تعریف می کند.
هر دو نوع بیماری لثه نسبتاً بین افراد بزرگسال در ایالات متحده رایج هستند و با مراقبت مؤثر می توان هر دو را متوقف کرد یا علائم آنها را کاهش داد.
ژنژیویت یا التهاب لثه
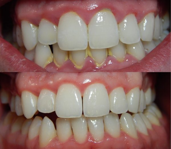
ژنژیویت یک نوع خفیف بیماری لثه است، اما بدون درمان صحیح و مناسب می تواند منجر به بروز پریودنتیت جدی تر شود. مشخصه ویژه آن لثه های قرمز و تحریک شده است.
ژنژیویت نسبتاً شایع است و بسیاری از افراد به درجات مختلفی از آن مبتلا هستند. بر اساس مشاهدات بالینی دندانپزشکان، حدود 50 درصد از جمعیت، ژنژیویت را روی چهار دندان یا بیشتر تجربه می کنند. افرادی که در معرض خطر هستند عبارتند از: افرادی که بهداشت دهان و دندان مناسبی ندارند، اقلیت ها، افرادی که سطح تحصیلات پایین تری دارند، افرادی که سیگار می کشند، افرادی که دیابت کنترل نشده دارند، افراد مسن تر، زنان باردار، کسانی که ایمنی بدن آنها کاهش یافته است، کسانی که تغذیه نامناسب دارند، افرادی که دچار سوء مصرف مواد هستند و کسانی که اغلب به دنبال خدمات یک متخصص دندانپزشک نیستند.
ژنژیویت یا التهاب لثه در درجه اول به دلیل بهداشت نامناسب دهان و دندان ایجاد می شود، که باعث ایجاد پلاک روی دندان ها می شود. پلاک ماده ای نامرئی و چسبناک است که وقتی قندها و نشاسته های موجود در غذا با باکتری های طبیعی دهان تعامل پیدا می کنند، روی دندان ها تشکیل می شود. پلاک به سرعت رشد می کند، به همین دلیل است که برای از بین بردن آن، مسواک زدن و نخ دندان کشیدن روزانه مهم است.
مؤسسه ملی بهداشت هشدار داده است که اگر این پلاک برداشته نشود، می تواند به جرم یا همان تارتار دندان تبدیل شود، رسوب سختی که روی پایه دندان بوجود می آید. پلاک و تارتار هر دو موجب التهاب لثه می شوند و باکتری ها و سمومی تولید می کنند که باعث عفونت لثه با ژنژیویت می شود.
علاوه بر عدم رعایت بهداشت دهان و دندان، ژنژیویت می تواند به دلایل زیر ایجاد شود:
- دیابت کنترل نشده
- برخی بیماری ها و عفونت های سیستمیک، مانند اختلالات تیروئید، کمبود مواد مغذی یا عفونت HIV
- داروهای خاص، از جمله فنی توئین (که برای کنترل تشنج استفاده می شود)، بیسموت (که برای درمان ناراحتی معده و اسهال استفاده می شود، مانند پپتو بیسمول)
- برخی از قرص های ضد بارداری
- دندان های نامرتب
- پر شدگی های دندان که لبه های زبر و تیز دارند
- ابزارهای دندانی که به خوبی جای نمی گیرند یا آلوده هستند.
علاوه بر این، ژنژیویت یک جزء هورمونی دارد، زیرا تغییرات در هورمون ها میتوانند باعث بروز حساسیت بیشتر لثه شوند. به همین دلیل، گاهی اوقات زنان باردار به ژنژیویت مبتلا می شوند و این بیماری اغلب در دوران بلوغ یا جوانی ایجاد می شود.
علائم ژنژیویت
مشخصه ویژه لثه های سالم رنگ صورتی کم رنگ و سفتی آنها است. از آنجا که ژنژیویت معمولاً دردناک نیست، بسیاری از افراد متوجه وجود آن یا مشکل لثه های خود نمی شوند.
علائم ژنژیویت عبارتند از:
- خونریزی لثه، حتی با مسواک زدن آرام
- لثه های حساس، مخصوصاً هنگام لمس
- لثه های قرمز روشن، قرمز تیره یا بنفش مایل به قرمز
- لثه های متورم
- زخم های دهان
- لثه های براق
- بوی بد دهان
جلوگیری از بروز ژنژیویت
بهترین راه برای پیشگیری از بروز ژنژیویت، رعایت بهداشت خوب دهان و دندان است. مسواک زدن دو مرتبه در طول روز و نخ دندان کشیدن حداقل یک بار در روز توصیه می شود. هر شش ماه یک مرتبه دندان ها باید توسط دندانپزشک به صورت تخصصی پاکسازی شوند. همچنین اگر علائم بسیار بد باشند، دندانپزشکان ممکن است مسواک زدن و نخ دندان کشیدن را بعد از هر وعده غذایی و قبل از خواب توصیه کنند. آنها همچنین ممکن است ابزارهای حذف پلاک مانند مسواک های مخصوص، خلال دندان و ابزارهای آبی تمیز کننده دندان ها (مانند واتر فلاسر) را توصیه کنند. خمیر دندان ها و دهانشویه های ضد پلاک و ضد جرم نیز می توانند کمک کننده باشند.
درمان های ژنژیویت
گرچه اگر بهداشت دهان و دندان در منزل به خوبی ادامه یابد، ژنژیویت معمولاً پس از یک پاکسازی تخصصی بهبود می یابد، اما باید هشدار داد که اگر بیمار در مراقبت های خانگی خود کوشا و دقیق نباشد و حداقل دو مرتبه در سال در پی پاکسازی تخصصی نباشد، این وضعیت به سرعت عود می کند.
دندانپزشک یا دستیار دندانپزشک برای پاکسازی، تمام پلاک ها و جرم های دندانی را طی فرآیندی به نام جرم گیری از بین می برد.
اگر ژنژیویت شدید باشد و جرم عمیقی وجود داشته باشد، بیمار ممکن است به چهار تمیز کردن عمقی (جرم گیری و تسطیح سطح ریشه) نیاز داشته باشد تا بافت لثه به وضعیت سالم باز گردد. علاوه بر این، دندانپزشک در مورد اصلاح دندان های نا همراستا یا پر شدگی ها، روکش ها یا بریج های نامناسب صحبت خواهد کرد.
دهانشویه های بدون نسخه یا تجویزی نیز ممکن است کمک کنند، اما گرچه خمیر دندان ها و دهانشویه ها به نگه داشتن میزان پلاک در سطح قابل قبول کمک میکنند… اما هیچ ماده شیمیایی یا دارویی وجود ندارد که به تنهایی از بروز ژنژیویت جلوگیری کند.
پریودنتیت
اگر ژنژیویت درمان نشود، ممکن است به پریودنتیت ختم شود – یک بیماری بسیار جدی تر. پریودنتیت می تواند منجر به تخریب بافت های لثه، استخوان های دهان، بافت و دندان ها شود. این دلیل شماره یک از دست رفتن دندان در افراد بزرگسال است.
اگر پلاک بیش از حد زیر خط لثه منتشر شود، سموم می توانند باعث تجزیه بافت ها و استخوان های نگهدارنده دندان ها شوند. مؤسسه ملی تحقیقات دندانپزشکی و جمجمه و صورت توضیح می دهد که در پریودنتیت، لثه ها از دندان ها جدا می شوند و فضاهایی به نام پاکت ایجاد می کنند که عفونی می شوند. این شرایط، در صورت عدم درمان، ممکن است باعث لق شدن دندان ها شوند و باید کشیده شوند. پریودنتیت بعلاوه می تواند خطر حمله قلبی یا سکته مغزی را افزایش دهد.
علائم پریودنتیت
مانند ژنژیویت، مهم است که به یاد داشته باشید که لثه های سالم صورتی کم رنگ و محکم هستند. به سایر تغییرات، از جمله موارد ذکر شده در زیر توجه کنید:
- لثه های متورم
- لثه های قرمز روشن، بنفش یا قرمز تیره
- لثه های تحریک پذیر
- تحلیل لثه ها که باعث می شود دندان ها بلندتر از حد معمول به نظر برسند
- ایجاد فضاهای جدید بین دندان ها
- لق شدن دندان ها
- تغییر در نحوه قرار گرفتن دندان ها هنگام گاز زدن
- ترشح چرک اطراف دندان ها و لثه ها
- بوی بد دهان
- طعم بد داخل دهان
انواع پریودنتیت
بر اساس تحقیقات آکادمی پریودنتولوژی آمریکا، انواع مختلفی از پریودنتیت وجود دارد که عبارتند از:
بیماری خفیف پریودنتال
بیماری پریودنتال خفیف مرحله دوم بیماری پریودنتال یا پریودنتیت مزمن، شایع ترین شکل آن است. این شرایط در هر سنی ممکن است رخ دهد اما در بزرگسالان شایع تر است. است. برگشت پذیر نیست، اما قابل مدیریت است. هنگامی که بیمار به این مرحله می رسد، عفونت به استخوان گسترش یافته و روند تخریب استخوان خود را آغاز می کند. مشخصه ویژه آن تشکیل پاکت و تحلیل لثه است. باکتری تکامل می یابد و تهاجمی تر می شود، که باعث از تحلیل بیشتر استخوان می شود. رعایت بهداشت دهان به سادگی دیگر نمی تواند آن را متوقف کند. علائم عبارتند از افزایش تورم یا قرمزی لثه ها، بوی بد دهان، خونریزی حین مسواک زدن یا نخ دندان کشیدن و پروب با عمق بین چهار تا پنج میلی متر.
بیماری پریودنتال متوسط
مانند بیماری خفیف پریودنتال، مرحله سوم بیماری پریودنتال قابل برگشت نیست. در مرحله سوم، همان علائم مرحله دوم ظاهر می شوند، اما عمق پروب در شش تا هفت میلی متر بیشتر است که اجازه می دهد حتی باکتری های بیشتری، نه تنها به استخوان ها، بلکه به جریان خون و سیستم ایمنی بدن حمله کنند. در صورت عدم درمان، این مراحل می توانند منجر به تحلیل استخوان و از دست رفتن دندان، حساسیت لثه، افزایش خونریزی و جابجایی دندان ها شوند.
بیماری پریودنتال پیشرفته
مرحله نهایی بیماری پریودنتال یا بیماری پریودنتال نکروز دهنده زمانی اتفاق می افتد که عفونت عمیق تر شود و باکتری ها بار دیگر به باکتری های عامل بیماری تبدیل شوند. بیشتر در افراد مبتلا به بیماری های سیستمیک مانند HIV، سوء تغذیه و سرکوب سیستم ایمنی شایع است. شما اکنون در خطر 50 تا 90 درصد تحلیل استخوان هستید. علاوه بر تحلیل استخوان، بیماری پریودنتال پیشرفته باعث قرمزی لثه های متورم و ترشح چرک، حساسیت به سرما، لق شدن بیشتر دندان ها، جویدن دردناک و بوی بد دهان می شود. مشخصه ویژه آن نکروز (مرگ) بافت لثه، الیاف لیگامان پریودنتال و استخوان های آلوئولار است که باعث بروز ضایعات می شود. این مرحله به جراحی پریودنتال یا لیزر پریودنتال نیاز دارد تا پاکت های عمیق پر از باکتری ایجاد شده را تمیز کند. در صورت عدم درمان، مرحله چهار بیماری پریودنتال منجر به ایجاد فاصله یا شکاف بین دندان ها، تحلیل لثه، نیاز بیماران به دندان مصنوعی دارند و سایر مشکلات کلی سلامتی شود که میتواند جدی باشد.
پریودنتیت به عنوان نشانه ای از بیماری های سیستمیک با بیماری های قلبی، دیابت و بیماری های تنفسی همراه است. معمولاً در سنین پایین بروز می یابد.
جلوگیری از بروز پریودنتیت
مانند ژنژیویت، راه اصلی برای پیشگیری از بروز پریودنتیت، از طریق بهداشت خوب دهان و دندان است. مسواک زدن دندان ها دو مرتبه در روز، و نخ دندان کشیدن آنها حداقل یک مرتبه در روز توصیه می شود، و در صورت توصیه دندانپزشک افزایش تعداد دفعات آنها توصیه می شود. دندان ها باید هر شش ماه یکبار به طور تخصصی پاکسازی شوند. اگر فردی دهان خشک دارد، داروی فشار خون مصرف می کند، یا سیگار می کشد، توصیه می شود که برای پاکسازی تخصصی دندان ها مرتباً به دندانپزشک مراجعه کنند.
درمان های پریودنتیت
بسته به وخامت پریودنتیت، برای درمان آن درمان های غیرجراحی و جراحی وجود دارند:
درمان های غیر جراحی عبارتند از:
- جرم گیری: زدودن جرم و باکتری از روی سطح دندان ها و زیر لثه ها. این کار معمولاً حین انجام پاکسازی تخصصی استاندارد دندان ها انجام می شود.
- تسطیح سطح ریشه دندان ها: صاف و صیقلی کردن سطوح ریشه دندان ها برای جلوگیری از انباشته شدن بیشتر جرم و سموم باکتریایی.
- آنتی بیوتیک ها: ممکن است شامل آنتی بیوتیک های موضعی مانند دهانشویه ها و ژل ها یا آنتی بیوتیک های خوراکی باشد.
درمان های جراحی عبارتند از:
- جراحی فلپ (جراحی کاهش پاکت): بلند کردن بافت لثه، برداشتن پوشش ریشه ها برای جرم گیری موثرتر و تسطیح سطح ریشه ها. استخوان زیرین ممکن است مجدداً ترمیم شود تا تمیز کردن ناحیه اطراف لثه ها آسان تر شود.
- پیوند بافت نرم: این کار باعث تقویت بافت نرم از دست رفته در اثر تحلیل لثه می شود. مقدار کمی از بافت سقف دهان به خط لثه منتقل می شود تا از تحلیل بیشتر لثه ها کاسته شود، ریشه های بدون پوشش را بپوشاند و ظاهر را بهبود دهد.
- پیوند استخوان: این عمل زمانی انجام می شود که استخوان اطراف ریشه دندان تخریب شده باشد و با نگه داشتن دندان در جای خود، از افتادن دندان جلوگیری می کند. همچنین باعث رشد مجدد استخوان می شود.
- بازسازی هدایت شده بافت: این فرایند، از طریق استفاده از یک فیبر سازگار با بدن انسان و جایگذاری آن بین استخوان و دندان، باعث رشد استخوان مجدد می شود. این ماده از رشد ناخواسته بافت جلوگیری می کند تا استخوان بتواند دوباره رشد کند.
کاربرد مشتق ماتریکس مینا: این فرایند، شکل دیگری از بازسازی هدایت شده بافت است، که شامل استفاده از ژل روی ریشه دندان بیمار است. این ژل حاوی همان پروتئین هایی است که به طور طبیعی در مینای دندان در حال رشد وجود دارد. کاربرد آن باعث تحریک رشد استخوان و بافت سالم می شود.











ثبت ديدگاه