Skip to content
InstagramPhone
دکتر نسیم اثناعشری متخصص ارتودنسی لوگو دکتر نسیم اثناعشری متخصص ارتودنسی لوگو دکتر نسیم اثناعشری متخصص ارتودنسی لوگو
  • خانه
  • درباره دکتر
  • خدمات
    • بخش ارتودنسی بزرگسالان
    • بخش ارتودنسی اطفال (پیشگیری)
    • بخش ارتودنسی و جراحی فک (ارتوسرجری)
  • نمونه درمانی
  • ویدیو ها
  • مشاوره
  • نوبت دهی
    • نوبت ویزیت و مشاوره اولیه ارتودنسی
    • نوبت ویزیت ماهیانه بیماران تحت درمان
  • خواندنی ها
  • تماس با ما
  • خانه
  • درباره دکتر
  • خدمات
    • بخش ارتودنسی بزرگسالان
    • بخش ارتودنسی اطفال (پیشگیری)
    • بخش ارتودنسی و جراحی فک (ارتوسرجری)
  • نمونه درمانی
  • ویدیو ها
  • مشاوره
  • نوبت دهی
    • نوبت ویزیت و مشاوره اولیه ارتودنسی
    • نوبت ویزیت ماهیانه بیماران تحت درمان
  • خواندنی ها
  • تماس با ما
  • خانه
  • درباره دکتر
  • خدمات
    • بخش ارتودنسی بزرگسالان
    • بخش ارتودنسی اطفال (پیشگیری)
    • بخش ارتودنسی و جراحی فک (ارتوسرجری)
  • نمونه درمانی
  • ویدیو ها
  • مشاوره
  • نوبت دهی
    • نوبت ویزیت و مشاوره اولیه ارتودنسی
    • نوبت ویزیت ماهیانه بیماران تحت درمان
  • خواندنی ها
  • تماس با ما

7

  1. صفحه اصلی
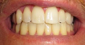
  2. خطوط ریز یا کریز لاین روی دندان ها
  3. 7
قبلی

7

دکتر نسیم اثناعشری2023-02-28T11:51:47+03:30بدون ديدگاه

به اشتراك بگذاريد!

FacebookTwitterLinkedInWhatsAppPinterestپست الکترونیک

About the Author: دکتر نسیم اثناعشری

دکتر نسیم اثناعشری پس از موفقیت در کنکور سراسری وارد دوره دندانپزشکی عمومی شد. وی پس از گذراندن این دوره در سال ۱۳۸۸ وارد دوره تخصصی ارتودنسی گردیده و با کسب بورد تخصصی در سال ۱۳۹۲ به عنوان هیات علمی در دانشکده دندانپزشکی آزاد اصفهان مشغول به کار شد و همزمان در بخش خصوصی و مطب شخصی خود در شهر اصفهان فعالیت دارد

ثبت ديدگاه لغو پاسخ

دکتر نسیم اثناعشر متخصص ارتودنسی در اصفهان

خیابان توحید میانی نبش کوچه شماره۳۱- طبقه فوقانی داروخانه،ساختمان پزشکی توحید-طبقه اول -واحد ۱۱۱
اصفهان
تلفن: 03136266599

شنبه4:30 PM - 7:30 PM
یکشنبه4:30 PM - 7:30 PM
دوشنبه4:30 PM - 7:30 PM
سه شنبه4:30 PM - 7:30 PM
چهارشنبه4:30 PM - 7:30 PM
پنج شنبه10:00 AM - 12:00 PM

آخرین مطالب

  • چرا در برخی افراد دندان های صاف به تدریج کج می شوند؟
    دندان ها به مرور زمان می توانند از صاف و یکدست بودن به صورت کج درآیند. موقعیت طبیعی و هم ترازی دندان ها پویا است نه ایستا. دندان ها توسط رباط های پریودنتال الاستیک درون استخوان ثابت می شوند و می توانند در پاسخ به عوامل و نیروهای مختلف دهانی که به آنها وارد می شود، حرکت کنند و موقعیت خود را به تدریج تغییر دهند.فیبرهای موجود در این رباط ها امکان حرکت محدود دندان ها را فراهم می کنند زیرا رباط ها می توانند کشیده شوند و تغییر شکل دهند. […]
  • آیا بریس ها می توانند باعث شکستن دندان ها شوند؟
    بریس ها در طول درمان، فشار ثابتی به دندان ها وارد می کنند تا به تدریج آنها را طی ماه ها یا سال ها به موقعیت های صاف تر جابجا کنند. در حالی که این نیروی ثابت برای حرکت ایمن دندان ها در نظر گرفته شده است، برخی از استفاده کنندگان از بریس ها نگران هستند که آیا واقعاً ممکن است دندان های آنها ترک بخورند یا بشکند.این مقاله جامع به بررسی نحوه عملکرد بریس ها، میزان نیرویی که وارد می کنند و اینکه آیا آنها می توانند به معنای واقعی کلمه دندان ها را در شرایط عادی درمان بشکنند، می پردازد. […]
  • چه عواملی روی استحکام دندان ها تأثیر می گذارند؟
    دندان های انسان سخت ترین ماده در بدن هستند. بیرونی ترین لایه دندان که مینای دندان نامیده می شود از کریستال های معدنی محکم تشکیل شده است که به آن استحکام می بخشند. مینای دندان حتی از استخوان نیز محکم تر است، اما همچنان می تواند در اثر پوسیدگی یا ضربه آسیب ببیند. دندان ها با وجود محکم بودن، اگر تحت فشار بیش از حد قرار گیرند، باز هم می شکنند. […]
  • آیا ریتینرها واقعاً می توانند دندان ها را مرتب کنند؟
    آیا ریتینرها می توانند دندان ها را دوباره مرتب کنند؟ این سؤال شایعی است که بسیاری از افراد هنگام بررسی درمان ارتودنسی با آن مواجه می شوند. پس از استفاده از بریس ها یا سایر ابزارهای ارتودنسی برای صاف کردن دندان ها، اغلب از نگهدارنده ها برای ثابت نگه داشتن دندان ها استفاده می شود. در حالی که نگهدارنده ها می توانند به تنظیمات جزئی در موقعیت دندان ها و بایت کمک کنند، اما معمولاً برای مرتب کردن مجدد دندان هایی که به طور قابل توجهی جابجا شده اند، استفاده نمی شوند. […]
  • آیا با بریس ها می توان دهان را راحت بست؟
    بریس ها یک ابزار ارتودنسی متداول هستند که برای کمک به صاف کردن دندان ها و بهبود بایت استفاده می شوند. بسیاری از افراد به این موضوع فکر می کنند که زمانی که بریس ها را روی دندان های خود قرار داده اند آیا می توانند دندان های خود را به طور کامل ببیندند یا خیر. پاسخ این است که آری، با بریس ها می توانید دندان های خود را روی هم بگذارید، اما نکات مهمی وجود دارند که باید رعایت شوند. […]

آدرس متخصص ارتودنسی اصفهانارتودنسی اصفهانبهترین متخصص ارتودنسی اصفهانلیست متخصص ارتودنسی اصفهانمتخصص ارتودنسی اصفهانمتخصص ارتودنسی خوبمتخصص ارتودنسی خوب اصفهانمتخصص دندانپزشک اصفهانمطب متخصص ارتودنسی اصفهانهزینه ارتودنسی اصفهان

کلینیک ارتودنسی دکتر نسیم اثناعشری در اصفهان

© حق امتیاز محتوای این سایت متعلق به دکتر نسیم اثناعشری است. طراحی و بهینه سازی سایت توسط مهران مقدسی در شرکت "رایان مهر رهجو"

InstagramPhone
Page load link
Go to Top