در این نوشته می خوانید:
- 1 به سلامت لثه های خود توجه داشته باشید.
- 2 علل تحلیل لثه ها
- 3 پیوند لثه چیست؟
- 4 هر بیمار چه نوع پیوند لثه ای نیاز دارد؟
- 5 جراحی پیوند لثه چگونه انجام می شود؟
- 6 ریکاوری و مراقبت های بعدی
- 7 آیا پیوند لثه درد دارد؟
- 8 مشکلاتی که در طول جراحی پیوند لثه ممکن است بوجود بیایند
- 9 بهبود جراحی پیوند لثه تنها چند هفته طول می کشد
- 10 جراحی پیوند لثه چقدر هزینه در بر دارد؟
سلامت خوب دهانی تنها به مبارزه با پوسیدگی و حفره های دندانی، حفظ رنگ سفید دندان ها، و پرداختن به نهفتگی یا کجی دندان ها محدود نمی شود. بخشی از مراقبت های دندانی که اغلب نادیده گرفته می شود سلامت لثه ها است- ظاهر و وضعیت آنها، همچنین خطر التهاب و عفونت. روی هم رفته، آنها لبخند سالم و زیبایی شما را حفظ می کنند.
به سلامت لثه های خود توجه داشته باشید.
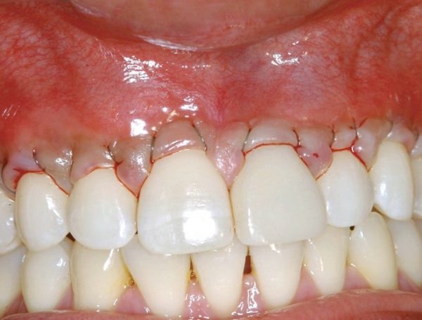
یکی از شایع ترین مشکلات مربوط به سلامت پریودنتال بازسازی لثه است. لثه ها عموماً در نتیجه مسواک زدن محکم یا درمان ارتودنتیک در گذشته و داشتن لثه های نازک ترتحلیل می روند.
یکی از جدی ترین علل برای نگرانی، داشتن سابقه ژنژیویت و بیماری لثه است که در نتیجه باکتری و التهاب ناشی از بهداشت بد دهانی بروز پیدا می کند. تحلیل لثه ها وقتی درمان نشده رها می شود، می تواند باعث شود ریشه های دندان ها قابل مشاهده باشند و هیچ پوششی روی آنها وجود نداشته باشد، و موجب بروز حساسیت و احتمال پوسیدگی دندان ها شود.
پیوند لثه می تواند این تأثیرات سوء را معکوس کند و سلامت لثه های شما را احیاء کند. موفقیت فرایند پیوند لثه های شما به درست بودن فرایند پیوند، آماده سازی ها، و بهبود بستگی دارد- که همه آنها با یک دندانپزشک یا پریودنتیست (متخصص بیماری های لثه) مجرب ممکن است.
علل تحلیل لثه ها
عواملی که موجب تحلیل لثه ها می شوند عبارتند از:
- التهاب لثه ها به عنوان یک ویژگی مشترک
- عدم ضخامت کافی بافت لثه و نوع بافت لثه پیرامون ریشه دندان ها
- وجود صفحه استخوانی نازک یا عدم وجود آن اطراف ریشه دندان ها
- برجستگی ریشه دندان
- عدم قرار گیری درست دندان ها
- عدم فقدان عمق دهلیزی با اتصالات بالای فرنوم
- تروما و انباشته شدن پلاک در اطراف حاشیه لثه ها
پیوند لثه چیست؟
پیوند لثه نوعی فرایند دندانپزشکی است که توسط پریودنتیست ها انجام می شود. این درمان پیشنهادی برای لثه های تحلیل رفته به منظور پرهیز از بدون پوشش ماندن سطح ریشه دندان ها است که منجر به پوسیدگی و حساسیت می شود. پیوند لثه به معکوس کردن این تأثیرات سوء کمک می کند و سلامت لثه ها را احیاء می کند، به گونه ای که آنها می توانند سپر محافظت کننده اطراف دندان ها را حفظ کنند.
پیوند لثه عبارت است از برداشتن یک تکه بافت لثه از سقفدهان یا بافت سالم لثه نزدیک محلی که نیاز به پیوند دارد. سپس این تکه بافت به جایی پیوند زده می شود (متصل می شود) که بافت لثه تحلیل رفته است. ضرورتاً، این یک فرایند دو بخشی سریع است که نیاز به استفاده از بافت سالم موجود دارد که قبلاً داخل بدن شما وجود داشته باشد و استفاده از آن به منظور اصلاح بافت و محافظت از بقیه لبخند شما در برابر مشکلات آینده.
هر بیمار چه نوع پیوند لثه ای نیاز دارد؟
چند تکنیک متعدد پیوند لثه وجود دارد، که هر یک از آنها برای پرداختن به یک نگرانی خاص پریودنتال طراحی شده اند. هر نوع پیوند لثه بر اساس میزان تحلیل رفتگی لثه، میزانی که گونه می تواند در طول فعالیت های روزانه از روی محل جراحی کنار برود، و اینکه لثه بین دندان ها نیز تحلیل رفته است یا تنها لثه سطح جلوی دندان ها تحلیل رفته است، توصیه می شود.
همه جراحی های پیوند لثه شامل برداشت بافت اهدا کننده از بخشی از دهان و متصل کردن آن به جایی هستند که لثه تحلیل رفته است. تفاوت در نحوه انجام آن است، و نتایج مورد انتظار پس از بهبود. پریودنتیست هر یک از این تکنیک های پیوند لثه را برای شما توضیح خواهد داد و بهترین نوع را بر اساس مورد خاص شما و نیز سابقه سلامت دهان شما پیشنهاد خواهد داد.
پیوند بافت همبند
پیوند لثه با استفاده از بافت همبند مستلزم باز کردن یک فلپ کوچک در سقف دهان است- که ورودی دسترسی نامیده می شود. سپس پریودنتیست از این ورودی دسترسی برای پیدا کردن و برداشتن یک تکه بافت همبند زیرآن استفاده می کند، و آن را به محلی بخیه می زند که لثه ها تحلیل رفته اند. از بین تمام تکنیک های پیوند لثه، این نوع پر استفاده ترین است.
پیوند آزاد لثه
در مقایسه با تکنیک “ورودی دسترسی”، در پیوند آزاد لثه یک تکه کوچک بافت از سقف دهان برداشته می شود، با این تفاوت که بافت از لایه رویی سقف دهان برداشته می شود و به منطقه ای که بواسطه نازک بودن بافت لثه آن نیاز به بافت بیشتری دارد پیوند زده می شود. این تکنیک با برداشتن بافت از یک محل و پیوند زدنآن به محل دیگر، از تحلیل رفتن بیشتر بافت لثه پیشگیری می کند.
پیوند پایه
پیوند پایه عبارت است از پیوند زدن بافت پیوندی که از نزدیک ترین محل به محل تحلیل رفتگی برداشته شده با استفاده از یک فلپ. فلپ بافت لثه تحلیل رفته را پوشش می دهد، ضرورتاً با استفاده از بافتی که از نزدیک محل مشکل دار برداشته شده است، به جای آنکه از بخش دیگری از دهان، مانند سقف دهان، برداشته شود.
پریودنتیست ها متوجه شده اند که پیوند پایه اغلب موفقیت آمیزترین روش است زیرا هیچ برشی در جریان خون موجود در بافت های دخیل ایجاد نمی شود. تنها کاری که لازم است انجام شود این است که باید مقدار کافی بافت سالم لثه اطراف محل تحلیل رفته وجود داشته باشد- شاید کمتر از مقدار ایده آل وقتی تحلیل رفتگی گسترده است.
پیوندهای جایگزین
پیوند لثه عموماً با استفاده از بافت سالم خود شما انجام می شود، اما همیشه هم امکان پذیر نیست. در موارد وخیم، جایی که مقدار زیادی از لثه ها تحلیل رفته اند، یا اگر پریودنتیست شما مجبور است تحلیل رفتگی روی پنج دندان را پوشش دهد، پیوند جایگزین ممکن است پیشنهاد شود.
لثه هایی که به میزان زیادی تحلیل رفته اند به برداشت مقدار قابل توجهی بافت از سقف دهان نیاز دارند، که پس از آن نا امن می شود. به جای آن، پیوند از جسد استفاده می شود تا این اطمینان بوجود بیاید که منطقه تحلیل رفته به طور کامل پوشش خواهد داشت.
جراحی پیوند لثه چگونه انجام می شود؟
قبل از فرایند
یکی از بهترین چیزهایی که به پیوند لثه مربوط می شود این است که نیاز به آماده سازی چندانی ندارد. تنها یک مشاوره با پریودنتیست نیاز دارد برای آنکه بفهمید مشکل تحلیل رفتگی چقدر شدید است، و بهترین تکنیک پیوند لثه برای شما کدام است.
هیچ محدودیت غذایی یا دارویی قبل از فرایند نیاز نیست؛ همه چیزی که نیاز دارید این است که به دلیل تأثیرات داروی بی حسی برای برگشتن به مطب هماهنگ کنید، داروهای پس از فرایند، و ناراحتی اندکی می تواند وجود داشته باشد که باعث می شوند رانندگی برای شما خطرناک باشد.
در طول فرایند
ابتدا برای شما داروی بی حسی تزریق خواهد شد تا منطقه اطراف محلی که نیاز به جراحی دارد بی حس شود. در برخی موارد، در عوض ممکن است بیهوشی عمومی استفاده شود، مخصوصاً اگر بیمار احساس اضطراب و نگرانی داشته باشد و اگر هشیار نباشد بهتر آرام شود .
خود فرایند پیوند لثه خیلی طول نمی کشد زیرا پریودنتیست قبلاً بافت اهدا کننده را برای برداشت شناسایی کرده است و نقشه منطقه پیوند را طراحی کرده است. وقتی بخیه ها زده می شوند، و پیوند بی خطر می شود، پزشک از شما می خواهد دهان خود را با یک دهانشویه آنتی باکتریال شستشو دهید. علاوه بر این، پریودنتیست ممکن است از شما بخواهد به مدت یک یا دو ساعت داخل مطب بمانید تا مطمئن شود پیوند موفقیت آمیز بوده است، و هیچ مشکلی وجود ندارد.
ریکاوری و مراقبت های بعدی
درست مانند هر فرایند دندانی دیگری، موفقیت طولانی مدت پیوند لثه در دوره حیاتی بهبود است. مهم است دستور العمل های پس از جراحی را با دقت دنبال کنید تا از بروز هر گونه مشکلی پیشگیری نمایید. برای بهبودی سریع تر، داروهای تجویزی خود، مانند آنتی بیوتیک ها و مسکن ها، را طبق دستور مصرف کنید.
در طول دو هفته نخست بهبود، رژیم غذایی نرم داشته باشید. غذاهای نرم و خنکی مانند تخم مرغ آب پز یا عسلی، ماست، سبزیجات پخته، پنیر کوتیج، بستنی، و ژلاتین مصرف کنید تا از آسیب وارد شدن به پیوند اجتناب نمایید. از خوراکی های سفت و داغی که می توانند موجب سوختگی یا تحریک پذیری پیوند شوند خودداری نمایید.
علاوه بر این، اجازه ندارید منطقه اطراف پیوند را مسواک بزنید یا نخ دندان بکشید تا از مختل کردن روند بهبود، مانند باز شدن زخم، که می تواند موجب بروز عفونت شود، اجتناب نمایید. اما حتی آن زمان نیز مهم است بهداشت دهان را به خوبی رعایت کنید.
پریودنتیست به شما توصیه خواهد کرد از یک دهانشویه آنتی میکروبیال برای زدودن پلاک های تشکیل شده استفاده کنید و از بروز عفونت ها در این بازه زمانی پیشگیری نمایید و به احتمال زیاد در طول دو هفته نخست پس از فرایند به شما اطلاع خواهد داد که چه زمانی برای از سر گرفتن روند معمول مسواک زدن و دیگر فعالیت ها مانند ورزش کردن بی خطر است.
آیا پیوند لثه درد دارد؟
در طول جراحی پیوند لثه، پریودنتیست اطمینان حاصل خواهد کرد که مقدار کافی بی حس کننده برای شما تزریق شده است تا فرایند کاملاً بدون درد انجام شود و شما راحت باشید.
پس از فرایند نیز، دردی که احساس می کنید تا میزان زیادی به نوع جراحی که انجام می شود بستگی دارد. به مدت چند روز پس از فرایند، اکثر بیماران ناراحتی آن را با ناراحتی حاصل از سوختگی دهان با غذای داغ مقایسه می کنند.
مشکلاتی که در طول جراحی پیوند لثه ممکن است بوجود بیایند
پیوند لثه یک فرایند کاملاً بی خطر و مؤثر است؛ که بارها و بارها انجام شده است و موفقیت آمیز بودن آن در درمان موارد بی شماری از تحلیل و نازک شدگی در نتیجه شدید و محکم مسواک زدن و بیماری لثه، به اثبات رسیده است. با این حال، ممکن است مشکلات و عفونت هایی بوجود بیایند، مخصوصاً اگر مراقبت های پس از جراحی به خوبی انجام نشده باشند.
برای موارد اورژانسی مانند ترشح چرک یا خونریزی غیر منتظره اطراف محل پیوند، تورم، کبودی، تب، و چرک کردن، خیلی سریع با پریودنتیست خود تماس بگیرید. اینها علائمی هستند که نشان می دهند پیوند به درستی انجام نشده است یا با محل جوش نخورده است و باید پیوند مجدداً انجام شود.
بهبود جراحی پیوند لثه تنها چند هفته طول می کشد
پیوند لثه ظاهر لثه هایی که قبلاً و طی چندین سال تحلیل رفته اند را به صورت جادویی و یک شبه تغییر نمی دهد. چند هفته طول می کشد تا بهبود پیدا کند و تورم فروکش کند، و در طول این بازه زمانی، پیوند با منطقه اطراف خود جوش خواهد خورد. پس از آن، چند هفته دیگر طول می کشد تا شاهد مزایای کامل آن باشید- احیاء کامل ظاهر لثه ها.
علاوه بر این، ممکن است متوجه شوید که شکل ظاهری پیوند را پس از بهبود کامل آن دوست ندارید. می توانید راجع به امکان جینجیوپلاستی یا تغییر شکل بافت لثه با پریودنتیست خود گفتگو کنید تا ظاهر آن را بهبود دهید و لبخند زیبای خود را تکمیل کنید.
جراحی پیوند لثه چقدر هزینه در بر دارد؟
پیوند لثه فرایندی نسبتاً شایع و قابل استطاعت است. بسته به اندازه پیوند مورد نیاز برای اصلاح تحلیل رفتگی، هزینه آن می تواند متفاوت باشد. این هزینه می تواند به طور کامل یا تنها بخشی از آن تحت پوشش طرح بیمه خدمات دندانپزشکی شما باشد، بنابراین از قبل برای مطمئن شدن از این موضوع، قبل از انجام فرایند، در مورد آن از شرکت ارائه دهنده بیمه خود سؤال بپرسید.








ثبت ديدگاه