در این نوشته می خوانید:
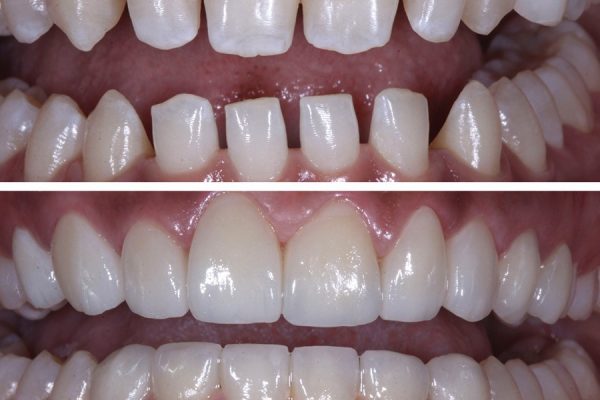
ونیر دندانی نوعی درمان زیبایی دندانی محبوب و محافظه کارانه هستند که بدشکلی ها، آسیب دیدگی ها، آسیب دیدگی ها، و شکل غیر عادی، یا بد رنگی دندان ها را اصلاح می کنند. گرچه بسیاری از افراد معمولاً به آنها ونیرهای پرسلاین می گویند، اما ونیرهای دندانی گاهی اوقات لمینت نیز نامیده می شوند، و می توانند از پرسلن یا رزین ساخته شوند. این پوسته های پرسلن یا رزینی به سطح جلو و قابل رویت دندان ها متصل می شوند تا ظاهر لبخند را بهبود دهند. آیا می دانسته اید که ستاره های هالیوود وقتی لبخندی روشن تر یا متقارن تر می خواهند ونیرها را به عنوان درمان زیبایی دندان های خود انتخاب می کنند؟
رایج ترین پرسش هایی که در مورد ونیر های دندانی پرسیده می شوند:
آیا من گزینه خوبی برای ونیر دندانی هستم؟
اگر به دنبال اصلاح دندان های شکسته، لب پر شده، با شکل غیر عادی، کج، یا دندان های بد رنگ خود هستید، ممکن است گزینه خوبی برای ونیرهای دندانی باشید. علاوه بر این، در صورتی که دندان های شما مینای ساییده شده یا دیگر علائم ساییدگی و خوردگی دارند، ممکن است به فکر ونیرهای دندانی باشید. در نهایت، در بسیاری موارد ونیرها به عنوان جایگزین روکش های دندانی عمل می کنند. برای آنکه متوجه شوید آیا شما گزنیه ایده آلی برای ونیرهای دندانی هستید یا خیر، برای مشاوره به یک دندانپزشک مراجعه کنید.
کدام یک بهتر است: ونیر پرسلن یا رزینی؟
هر دو نوع ونیرهای پرسلن و رزینی مزایا و معایب متفاوتی دارند، بنابراین مشخص نمودن اینکه کدام برای شما بهتر است به ترجیح شخصی شما و اهداف درمان بستگی دارد. با یک نگاه، ونیرهای رزینی کم هزینه تر و قابل استطاعت تر هستند، و می توانند به عنوان درمانی استفاده شوند که در یک روز کار گذاشته می شوند، علاوه بر این کمترین میزان آماده سازی را نیاز دارند. با این حال، ونیرهای رزینی طول عمر کوتاه تری نسبت به نمونه پرسلن دارند. از سوی دیگر، ونیرهای پرسلن گرچه گران تر هستند و نیاز به آماده سازی بیشتری دارند، اما دوام بیشتری دارند و ظاهر طبیعی تری ارائه می دهند و در برابر لک شدن مقاوم تر هستند.
آیا ونیر دندان انواع مختلفی دارند؟
دو نوع اصلی ونیرها عبارتند از: ونیرهای سنتی و ونیرهای آماده. ونیرهای سنتی نیاز دارند مقدار بسیار اندکی از مینای دندان ها تراشیده و برداشته شود به گونه ای که به صورت طبیعی روی دندان ها قرار بگیرند و ظاهری طبیعی داشته باشند. ونیرهای آماده که هیچ آماده سازی نیاز ندارند پوسته های بسیار ریزی هستند که نیازی به برداشتن مینای دندان قبل از جایگذاری ندارند. درست مانند هر ماده دیگری، ونیرها مزایا و معایب خود را دارند. اغلب در طول مشاوره اولیه در مورد این موضوع گفتگو خواهد شد تا اطمینان حاصل شود که شما در حال دریافت ونیرهای دندانی درست و مناسب برای نیازهای شخصی خود هستید.
مزایا و معایب ونیر
مزایا
- فرایند زیبایی محافظه کارانه.
- می توانند انواع نگرانی ها را اصلاح نمایند.
- ظاهری طبیعی ایجاد می کنند.
- پرسلن با لثه ها سازگار است.
معایب
- بازگشت ناپذیر.
- در صورت آسیب دیدن باید تعویض شود.
- برای افرادی که دندان های پوسیده یا بیماری لثه دارند ایده آل نیستند.
- می توانند موجب بروز حساسیت دندان ها شوند.
مراحل دریافت وینر
قبل از آنکه در حقیقت ونیرهای دندانی کار گذاشته شوند، لازم است دندان های شما آماده شوند و اطلاعات آنها برای لابراتوار دندانپزشکی ارسال شوند تا ونیرهای شما به صورت سفارشی ساخته شوند. آماده سازی دندان ها برای ونیرهای دندانی عبارت است از تراش بخش ریزی از مینای دندان ها و تغییر شکل آنها به گونه ای که ونیرها بتوانند روی آنها قرار بگیرند در حالی که ظاهر طبیعی دندان ها حفظ شود. در صورتی که از ونیرهای کامپوزیتی یا آماده استفاده می کنید، ممکن است این گام نیاز نباشد.
پس از آماده سازی دندان ها، از آنها قالب گرفته می شود تا برای لابراتوار دندانپزشکی ارسال شود. برای قالب گیری از یک تری پلاستیکی یا فلزی استفاده می شود که با بتونه نرم پر شده است که داخل دهان و روی دندان ها قرار می گیرد. همانطور که آن در طول یک دقیقه سفت می شود، قالب دندان های شما ساخته می شود. بسته به محل ونیرهای شما، این می تواند روی قوس دندانی بالا، قوس دندانی پایین، یا هر دو قوس دندانی اجراء شود. پس از آنکه قالب گرفته می شود، ممکن است ونیرهای موقت به دندان های شما چسبانده شوند در حالی که نمونه دائمی در حال ساخته شدن هستند.
هنگامی که لابراتوار دندانپزشکی کار ساخت ونیرهای دندانی را به اتمام رسانده است، شما برای بار دوم به مطب مراجعه می کنید تا ونیرها روی دندان های شما قرار بگیرند. در حقیقت جایگذاری ونیرهای دندانی نسبتاً ساده است. ابتدا بررسی خواهند شد تا اطمینان حاصل شود که از نظر تناسب و رنگ مشکلی ندارند. سپس، مقدار بسیار اندکی ماده چسبنده روی دندان زده خواهد شد، و پس از آن ونیر روی آن قرار داده خواهد شد. در نهایت، آنها با نوعی نور کیور کننده خاص روی دندان محکم خواهند شد.
پس از دریافت ونیر چه انتظاری می توان داشت؟
پس از آماده سازی اولیه شما، شما می توانید انتظار داشته باشید تا زمانی که اثر ماده بی حسی از بین برود دهان شما ممکن است بی حس باشد. برای پیشگیری از بروز آسیب، قبل از خوردن و نوشیدن هر چیزی، توصیه می کنیم صبر کنید تا زمانی که دهان شما احساس داشته باشد صبر کنید. از آنجا که ونیرهای دندانی درمانی با حداقل میزان تهاجمی بودن هستند، اما شما هیچ محدودیت رژیم غذایی یا فعالیتی پس از فرایند خود نخواهید داشت.
بین دو جلسه اول و دوم، ممکن است شما یک دوره حساسیت به جراحی، و غذاهای داغ و سرد را تجربه کنید. علت این است که بخش بسیار ریزی از مینای دندان ها برداشته شده است و دندان های شما برای تنظیم شدن نیاز به زمان خواهند داشت. در اکثر موارد، حساسیت دندان همزمان با جایگذاری ونیرهای دائمی برطرف خواهد شد.
پس از جایگذاری ونیرهای دائمی، برخی افراد از ایجاد نقاط زبر اطراف ونیرهای دندانی شکایت می کنند. این کاملاً طبیعی است و در نتیجه استفاده بیش از حد از مواد چسبنده ای بروز پیدا می کند که خشک شده اند. معمولاً این نقاط ظرف چند روز با غذا خوردن و مسواک زدن برطرف خواهند شد، با این حال، می توانید برای زدودن آنها به دندانپزشک خود نیز مراجعه کنید.
طول عمر ونیر دندانی چقدر است؟
طول عمر ونیرهای دندانی می تواند بر اساس نوع، مواد، و نیز نحوه مراقبت شما از آنها متفاوت باشد. به طور میانگین، ونیرهای کامپوزیتی حدود 5 تا 7 سال دوام دارند، در حالی که ونیرهای پرسلن حدود 10 تا 15 سال دوام دارند. برای رساندن ونیرهای دندانی به بیشترین طول عمر خود، مهم است با عادات روزانه مراقبت های دندانی از آنها مراقبت شود. چنین عاداتی عبارتند از استفاده از خمیر دندان های فلورایده، دو مرتبه مسواک زدن در طول روز هر بار به مدت دو دقیقه، و یک مرتبه نخ دندان کشیدن در طول روز.
عادت مهم دیگر مراجعه منظم به دندانپزشک برای چکاپ های دندانی و پاکسازی تخصصی دندان ها است، تا دندانپزشک بتواند ونیرهای دندانی شما را از نظر وجود هر گونه ساییدگی بررسی نماید. علاوه بر این، به منظور پیشگیری از ساییدگی زود هنگام یا آسیب دیدن ونیرهای دندانی، مهم است از آنها در برابر فشارهای زیاد محافظت شود. وقتی ونیرهای دندانی آسیب می بینند، آنها باید برداشته و تعویض شوند. به همین دلیل است که این رفتارها باید ترک شوند یا اگر دندان قروچه دارید باید به دنبال محافظ دندان باشید.







ثبت ديدگاه