در این نوشته می خوانید:
- 1 براکسیسم حین خواب چیست؟
- 2 دندان قروچه شبانه چقدر شایع است؟
- 3 علائم و نشانه های براکسیسم شبانه کدامند؟
- 4 دندان قروچه شبانه چه پیامدهایی دارد؟
- 5 چه عواملی موجب بروز دندان قروچه می شوند؟
- 6 دندان قروچه حین خواب چگونه تشخیص داده می شود؟
- 7 چه درمان هایی برای دندان قروچه شبانه وجود دارد؟
- 8 کاهش علائم
- 9 محافظت از بریس ها در برابر براکسیسم یا دندان قروچه
ساییدن و فشردن دندان های روی یکدیگر یک واکنش شایع و غیر ارادی نسبت به خشم، ترس، یا استرس است. در برخی افراد، این واکنش پیوسته در طول روز تکرار می شود، حتی اگر آنها در حال واکنش فوری به یک استرس دهنده نباشند. این دندان قروچه غیر ارادی براکسیسم نامیده می شود.
براکسیسم می تواند در حال خواب یا بیداری اتفاق بیفتد، اما بسیار بعید است که فرد از فشار دادن دندان های خود در طول خواب آگاه باشد. به دلیل نیرویی که در هر دوره براکسیسم حین خواب وارد می شود، این شرایط می تواند مشکلات جدی برای دندان ها و فک بوجود بیاورد و بسیاری از آنها برای کاهش تأثیرات آن نیاز به درمان دارند.
براکسیسم حین خواب چیست؟
براکسیسم حین خواب نوعی دندان قروچه است که در حالی که فرد خواب است اتفاق می افتد. براکسیسم حین خواب و براکسیسم حین بیداری دو شرایط کاملاً متفاوت تلقی می شوند، گرچه عمل فیزیکی آنها شبیه یکدیگر است. از بین این دو، براکسیسم در حال بیداری شایع تر است.
یکی از چالش های اصلی مربوط به براکسیسم شبانه این است که به سختی ممکن است فردی از اینکه در طول خواب دندان های خود را روی یکدیگر فشار می دهد آگاه باشد. به همین واسطه، فردی که براکسیسم شبانه دارد از قدرت بایت خود خبر ندارد، بنابراین محکم تر دندان های خود را روی یکدیگر فشار می دهد، بیش از 250 پوند نیرو به دندان ها وارد می کند.
دندان قروچه شبانه چقدر شایع است؟
براکسیسم شبانه بیشتر از افراد میانسال و افراد مسن تر، بین کودکان، نوجوانان، و افراد جوانی شایع است. به سختی می توان گفت دقیقاً چه تعدادی از افراد براکسیسم شبانه دارند زیرا بسیاری از افراد از اینکه دندان های خود را روی یکدیگر فشار می دهند آگاه نیستند.
آمارگیری از براکسیسم شبانه در کودکان دشوارتر است. مطالعات دریافته اند که چیزی حدود 6 % تا نزدیک به 50% از کودکان دندان قروچه شبانه را تجربه می کنند. این مشکل می تواند دندان های کودکان را به محض بیرون آمدن تحت تأثیر قرار دهند، بنابراین، برخی نوزادان و کودکان نوپا دندان های خود را روی یکدیگر فشار می دهند.
در نوجوانان، شیوع براکسیسم حدود 15% تخمین زده شده است. با بالا رفتن سن این شرایط تا حدود 8% از افراد بزرگسال میانسال کاهش پیدا می کند و تنها 3% از افراد مسن تر در طول خواب دندان قروچه دارند.
علائم و نشانه های براکسیسم شبانه کدامند؟
اصلی ترین علائم و نشانه های براکسیسم شبانه عبارتند از ساییدن و فشردن غیر ارادی دندان ها روی یکدیگر در طول خواب. این حرکات شبیه جویدن هستند اما عموماً نیروی بیشتری دارند.
افرادی که براکسیسم حین خواب دارند در طول کل شب دندان های خود را روی یکدیگر فشار نمی دهند. به جای آن، آنها دوره های فشردن و ساییدن دندان روی یکدیگر دارند. افراد ممکن است هر شب بیش از 10 دوره دندان قروچه را داشته باشند. تعداد دفعات اغلب غیر ثابت است، و ممکن است دندان قروچه هر شب اتفاق نیفتد.
مقداری حرکت دهان در طول شب طبیعی است. اما تا 60% از افراد گاهگاهی حرکاتی مانند جویدن از خود نشان می دهند که حرکات ریتمیک عضلات جویدن (RMMA) هستند، اما در افرادی که براکسیسم شبانه دارند، این اتفاق زمانی رخ می دهد که تعداد دفعات و نیروی بیشتری وجود داشته باشد.
اکثر دندان قروچه های حین خواب در اوایل چرخه خواب و در طول مراحل اول و دوم خواب غیر رم non-REM اتفاق می افتند. درصد اندکی از دوره ها می توانند در طول خواب رم REM بیفتند.
برای افرادی که شب ها دندان های خود را روی یکدیگر فشار می دهند این کاملاً طبیعی است که از این علائم آگاه نباشند مگر آنکه یکی از اعضای خانواده درباره این موضوع به آنها چیزی بگوید. با این حال، دیگر علائم می توانند نشان دهنده براکسیسم شبانه باشند.
درد فک و درد گردن دو علامت شایع دندان قروچه هستند. این دردها به دلیل سفتی این عضلات در طول دوره های براکسیسم بروز می یابند. سر دردهای صبحگاهی که مانند سر دردهای تنشی احساس می شوند از دیگر علائم احتمالی براکسیسم هستند. آسیب بدون توجیه به دندان ها نیز می تواند یکی از علائم دندان قروچه شبانه باشد.
دندان قروچه شبانه چه پیامدهایی دارد؟
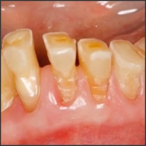
پیامدهای طولانی مدت براکسیسم شبانه می توانند شامل آسیب به دندان ها باشند. دندان ها ممکن است درد داشته باشند، دچار فرسایش شده باشند، یا لق شده باشند. روکش های دندانی، پر شدگی دندان، و ایمپلنت های دندانی نیز ممکن است آسیب ببینند.
ساییدن و فشردن دندان ها روی یکدیگر می تواند خطر بروز مشکلات مربوط به مفاصلی که فک پایین را به جمجمه متصل می کنند (TMJ) را نیز بالا ببرد. مشکلات مفاصل فکی گیجگاهی یا همان TMJ می تواند جویدن غذا را مشکل کند، درد مزمن فک بوجود بیاورد، موجب ایجاد صدای کلیک یا در رفتگی یا قفل شددگی فک و مشکلات دیگر شود.
همه افرادی که براکسیسم شبانه دارند با مشکلات جدی مواجه نخواهند بود. میزان گستردگی علائم و پیامدهای طولانی مدت، به شدت ساییدن دندان ها روی یکدیگر، نحوه قرار گیری دندان ها روی یکدیگر، رژیم غذایی فرد، و نیز شرایط دیگری بستگی دارد که می توانند روی دندان ها تأثیر بگذارند مانند بیماری رفلاکس اسید معده به مری (GERD).
دندان قروچه شبانه می تواند خواب اطرافیان شما را نیز مختل کند. صدایی که با ساییدن و فشردن دندان ها روی یکدیگر ایجاد می شود می تواند آزار دهنده باشد و فردی که با شما در یک اتاق می خوابد به سختی می تواند بخواب برود، یا تا زمانی که تمایل دارد بخوابد.
چه عواملی موجب بروز دندان قروچه می شوند؟
علل مختلفی می توانند خطر بروز دندان قروچه سبانه را بالا ببرند، بنابراین معمولاً این امکان وجود ندارد که تنها یک عامل را به عنوان مقصر بروز دندان قروچه در افراد شناسایی کرد. با این حال، برخی ریسک فاکتورهای خاصی وجود دارند که بیشتر احتمال دارد موجب بروز دندان قروچه شبانه شوند.
اضطراب یکی از مشهودترین این ریسک فاکتورها است. ساییدن و فشردن دندان ها روی یکدیگر هنگام مواجه شدن با یک موقعیت منفی یک واکنش شایع است، و می تواند طی چند دوره براکسیسم شبانه وجود داشته باشد. تصور می شود دندان قروچه با سطوح بالاتر افسردگی ارتباط داشته باشد.
محققان دریافته اند که براکسیسم شبانه عامل ژنتیکی هم دارد و می تواند در اعضای یک خانواده وجود داشته باشد. تقریباً نیمی از افرادی که با دندان قروچه شبانه دست به گریبان هستند، از اعضای درجه یک خانواده آنها افرادی هستند که این شرایط را تجربه کرده اند.
به نظر می رسد دوره های ساییدن دندان ها روی یکدیگر با تغییر الگوی خواب یا بیدار شدن های کوتاه مدت از خواب ارتباط داشته باشد. دندان قروچه بیشتر با افزایش فعالیت مغزی و قلبی و عروقی همراه است. این ممکن است ارتباطی که بین براکسیسم حین خواب و آپنه انسدادی خواب (OSA) مشاهده شده است را توضیح دهد، که باعث وقفه های موقتی خواب در اثر قطع شدن تنفس می شود.
عوامل متعدد دیگری با براکسیسم شبانه ارتباط دارند، از جمله کشیدن سیگار، مصرف الکل، مصرف کافئین، افسردگی و خر و پف کردن. برای درک بهتر ارتباطات احتمالی و اینکه آیا و چگونه این عوامل بر دندان قروچه حین خواب تأثیر می گذارند، تحقیقات بیشتر نیاز است.
دندان قروچه حین خواب چگونه تشخیص داده می شود؟
براکسیسم شبانه توسط دندانپزشک یا پزشک تشخیص داده می شود، اما روند تشخیص می تواند بسته به تخصص پزشکی که مراقبت های لازم را ارائه می دهد متفاوت باشد.
مطالعه در طول یک شب در یک کلینیک خواب، معروف به پلی سومنوگرافی، قطعی ترین روش برای تشخیص دندان قروچه است. با این حال، پلی سومنوگرافی می تواند زمان بر و پر هزینه باشد، و در برخی موارد خاص ممکن است لازم نباشد. پلی سومنوگرافی می تواند سایر مشکلات خواب مانند OSA را تشخیص دهد، بنابراین ممکن است بویژه هنگامی مفید باشد که فرد شکایت مختلفی از خواب خود دارد.
برای بسیاری از افراد، وجود علائمی مانند آسیب های دندانی و درد فک همراه با گزارش هایی از دندان قروچه از اعضای خانواده ممکن است برای اطمینان حاصل کردن از اینکه فرد دندان قروچه دارد کافی باشد.
تست های مشاهده خانگی می توانند روی نشانه هایی از دندان قروچه نظارت داشته باشند، اما تصور می شود این تست ها به اندازه پلی سومنوگرافی قطعی نباشند.
چه درمان هایی برای دندان قروچه شبانه وجود دارد؟
هیچ درمانی وجود ندارد که بتواند به طور کامل دندان قروچه شبانه را حذف یا درمان کند، اما چندین راهکار وجود دارند که می توانند دوره های آن را کاهش دهند و آسیبی که به دندان ها و فک وارد می شود را محدود کند.
برخی افرادی که دندان های خود را روی یکدیگر فشار می دهند هیچ علائمی ندارند و ممکن است هیچ درمانی نیاز نداشته باشند. افراد دیگر ممکن است علائم یا خطر مشکلات طولانی مدت را داشته باشند، و در این موارد، معمولاً درمان نیاز است.
بهترین درمان برای براکسیسم بر اساس فرد متفاوت است و همیشه باید تحت نظر پزشک یا دندانپزشکی انجام شود که بتواند راجع به مزایا و نقاط ضعف درمان مربوط به موقعیت خاص بیمار توضیح دهد.
کاهش اضطراب
سطوح بالای اضطراب هنگام بیدار بودن و خوابیدن به براکسیسم کمک می کنند، بنابراین برداشتن گام هایی برای کاهش و مدیریت استرس می تواند کمک کند به صورت طبیعی دندان قروچه کاهش پیدا کند.
کاهش قرار گرفتن در معرض موقعیت های اضطراب آور ایده آل است، اما البته، مهم است که استرس به طور کامل از بین برود. در نتیجه، تمرکز برخی رویکردها روی مبارزه با واکنش های منفی به استرس به منظور کاهش تأثیر آن است.
تکنیک های تغییر شکل افکار منفی، بخشی از درمان شناختی رفتاری برای بی خوابی (CBT-I) هستند، گفتگو درمانی برای بهبود خواب ممکن است اضطراب و استرس را نیز برطرف کند. بهبود بهداشت خواب و بکارگیری تکنیک های آرام سازی می توانند فوایدی برای خواب راحت تر به همراه داشته باشند.
داروها
داروها به برخی افراد کمک می کنند براکسیسم در خواب را کاهش دهند. اکثر این داروها با تغییر مواد شیمیایی مغز برای کاهش فعالیت های عضلانی دخیل در ساییدن دندان ها روی یکدیگر عمل می کنند. تزریق بوتاکس یکی دیگر از راه های محدود کردن حرکات عضلانی است و نشان داده شده است که در موارد وخیم تر براکسیسم حین خواب مؤثر می باشد.
اکثر داروها عوارض جانبی دارند که ممکن است باعث شود آنها برای برخی افراد مناسب نباشند یا استفاده از آنها در دراز مدت دشوارتر باشد. مهم است قبل از مصرف هر دارویی برای براکسیسم حین خواب با پزشک صحبت کنید تا بهتر از مزایا و عوارض جانبی آنها مطلع شوید.
ابزارهای دهانی
انواع مختلف ابزارهای دهانی و محافظ دندان ها، که گاهی اوقات محافظ دندان شبانه نیز نامیده می شوند، برای کاهش آسیب هایی استفاده می شوند که به دلیل براکسیسم حین خواب به دندان ها و دهان وارد می شوند.
اسپلینت های دندانی می توانند دندان ها را پوشش دهند به گونه ای که مانعی در برابر تأثیرات مضر دندان قروچه وجود داشته باشد. اسپلینت ها اغلب به صورت ویژه توسط دندانپزشک برای دهان بیمار طراحی می شوند، اما به صورت آماده و بدون نسخه نیز به فروش می رسند. آنها ممکن است تنها بخشی از دندان ها، یا بخش گسترده ای از دندان ها را پوشش دهند، مانند تمام دندان های فک بالا یا تمام دندان های فک پایین.
دیگر انواع اسپلینت ها و ابزارهای دهانی، شامل ابزار جلو آورنده فک پایین (MAD)، به گونه ای عمل می کند که دهان و فک را در یک موقعیت خاص تثبیت می کند و از ساییدن و فشردن دندان ها روی یکدیگر پیشگیری می کند. MAD با جلو نگهداشتن فک پایین عمل می کند و عموماً برای کاهش خر و پف مزمن استفاده می شود.
کاهش علائم
یکی دیگر از اجزاء درمان کاهش علائم برای تحمل بهتر براکسیسم حین خواب است. پرهیز از جویدن آدامس و خوراکی های سفت می تواند حرکات دردناک فک را کاهش دهد. کمپرس آب گرم یا کیسه یخ می توانند روی موضع فک اعمال شوند تا به طور موقت درد را تسکین دهند.
تمرینات صورت به برخی افراد کمک می کنند درد در ناحیه فک و گردن خود را کاهش دهند. آرام و شل کردن صورت و ماساژ سر و گردن ممکن است بیشتر موجب کاهش تنش یا سفتی عضلات شوند. پزشک یا دندانپرشک ممکن است تمرینات خاصی را به شما پیشنهاد دهند یا شما را به یک متخصص مجرب یا ماساژ درمانگر ارجاع دهند.
محافظت از بریس ها در برابر براکسیسم یا دندان قروچه
اگر دندان قروچه شما با مشکلی در بایت مرتبط باشد، ارتودنتیست می تواند به شما کمک کند دندان ها و فک خود را صاف کنید به گونه ای که به راحتی روی یکدیگر قرار بگیرند. استفاده از محافظ دندان شبانه برای نگهداشتن دندان ها در جای خود، یکی از بهترین راهکارهار برای پیشگیری از آسیب به دندان ها است. یک اسپلینت اکلوزال یا محافظ دندان شبانه مانند ریتینر روی دندان های شما قرار می گیرد، اما یک لایه پلاستیک نیز بین دندان های شما قرار می گیرد. این لایه به گونه ای تنظیم می شود که همه دندان ها به طور یکسان با یکدیگر تماس دارند و اگر دندان قروچه ادامه پیدا کند این ابزار می توان از ساییدگی دندان ها پیشگیری نماید.
ما می دانیم که ریتینر بهترین گزینه برای استفاده در طول شب برای همه افراد نیست. برای افرادی که با براکسیسم مواجه هستند، محافظ دندان شبانه می تواند از دندان ها و فک آنها در برابر فشار و آسیب محافظت کند. اگر نگان افزایش علائم براکسیسم در طول درمان ارتودنسی هستید، اگر نگران آسیب به براکت ها هستید با ارتودنتیست خود صحبت کنید. وی می تواند کمک کند برای جلوگیری از هر گونه اختلالی در روند درمان یا آسیب های بیشتر به دندان های شما، هر چه سریع تر این مشکل را برطرف کنید.
اگر هم فکر می کنید براکسیسم ممکن است موجب کجو ناصاف شدن دندان ها یا فک های شما شوند، بهتر است با ارتودنتیست صحبت کنید. گزینه های درمانی موقتی وجود دارند که می توانند به صاف کردن مؤثر و دائمی دندان ها کمک کنند.







ثبت ديدگاه